Promotional price valid on web orders only. Your contract pricing may differ. Interested in signing up for a dedicated account number?
Learn More
Learn More
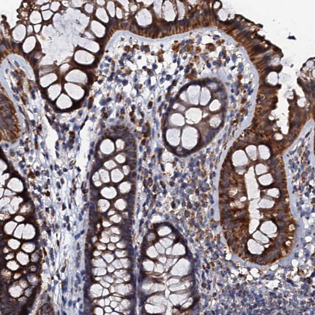
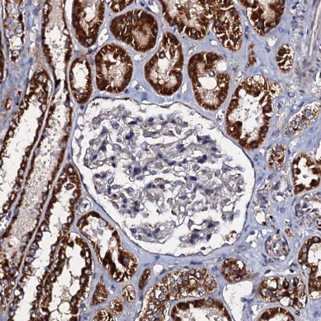
Invitrogen™ NDUFA12 Polyclonal Antibody

Rabbit Polyclonal Antibody
Supplier: Invitrogen™ PA558973
Description
Immunogen sequence: MELVQVLKRG LQQITGHGGL RGYLRVFFRT NDAKVGTLVG EDKYGNKYYE DNKQFFGRHR WVVYTTEMN Highest antigen sequence identity to the following orthologs: Mouse - 87%, Rat - 86%.
This gene encodes a protein which is part of mitochondrial complex 1, part of the oxidative phosphorylation system in mitochondria. Complex 1 transfers electrons to ubiquinone from NADH which establishes a proton gradient for the generation of ATP. Mutations in this gene are associated with Leigh syndrome due to mitochondrial complex 1 deficiency. Pseudogenes of this gene are located on chromosomes 5 and 13. Alternative splicing results in multiple transcript variants.
Specifications
NDUFA12 | |
Polyclonal | |
Unconjugated | |
Ndufa12 | |
13 kDa differentiation-associated protein; 13kDa differentiation-associated protein; 2410011G03Rik; AW112974; B17.2; CIB17.2; CI-B17.2; complex I B17.2 subunit; complex I-B17.2; DAP13; DAP13 protein; hypothetical protein LOC613140; NADH dehydrogenase (ubiquinone) 1 alpha subcomplex, 12; NADH dehydrogenase [ubiquinone] 1 alpha subcomplex subunit 12; NADH:ubiquinone oxidoreductase b17.2 subunit; NADH:ubiquinone oxidoreductase subunit A12; NADH-ubiquinone oxidoreductase subunit B17.2; Ndufa12; RGD1311462; si:dkey-183c16.3; zgc:112053 | |
Rabbit | |
Antigen affinity chromatography | |
RUO | |
55967 | |
Store at 4°C short term. For long term storage, store at -20°C, avoiding freeze/thaw cycles. | |
Liquid |
Immunohistochemistry (Paraffin), Western Blot, Immunocytochemistry | |
0.4 mg/mL | |
PBS with 40% glycerol and 0.02% sodium azide; pH 7.2 | |
Q9UI09 | |
Ndufa12 | |
Recombinant protein corresponding to Human NDUFA12. Recombinant protein control fragment (Product #RP-97870). | |
100 μL | |
Primary | |
Human | |
Antibody | |
IgG |
Product Content Correction
Your input is important to us. Please complete this form to provide feedback related to the content on this product.
Product Title
Spot an opportunity for improvement?Share a Content Correction