Learn More
Invitrogen™ NDUFA13 Polyclonal Antibody

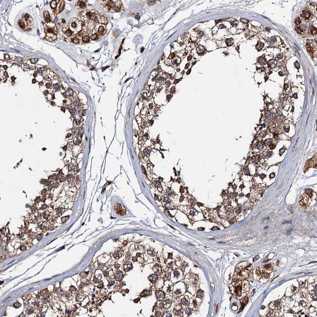
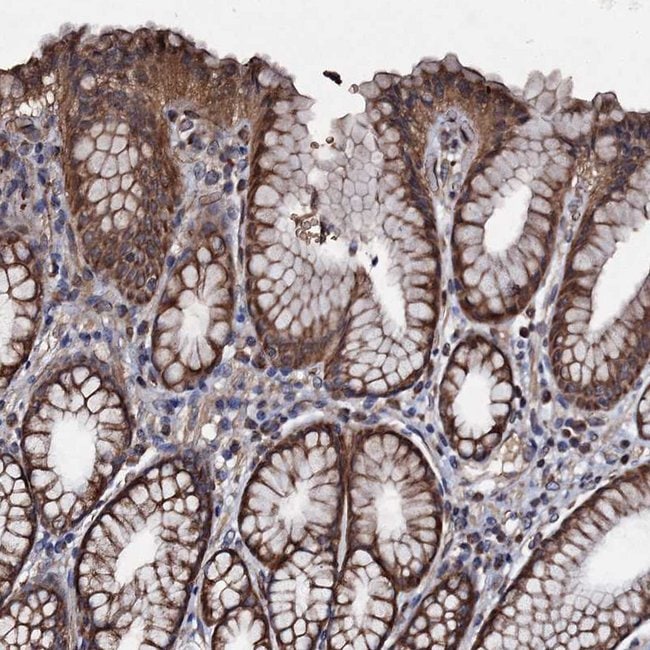
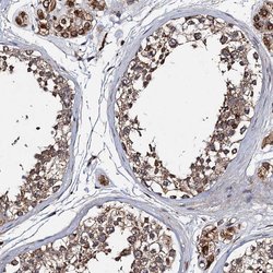
Description
Immunogen sequence: IMKWNRERRR LQIEDFEARI ALLPLLQAET DRRTLQMLRE NLEEEAIIMK DVPDWKVGES VFHTTRWVPP LIGELYGLRT TEEALHASHG FMWYT Highest antigen sequence identity to the following orthologs: Mouse - 81%, Rat - 83%.
Specifications
Specifications
| Antigen | NDUFA13 |
| Applications | Immunohistochemistry (Paraffin), Western Blot, Immunocytochemistry |
| Classification | Polyclonal |
| Concentration | 0.1 mg/mL |
| Conjugate | Unconjugated |
| Formulation | PBS with 40% glycerol and 0.02% sodium azide; pH 7.2 |
| Gene | Ndufa13 |
| Gene Accession No. | Q9ERS2, Q9P0J0 |
| Gene Alias | 2700054G14Rik; AU022060; B16.6; CDA016; Cell d; Cell death regulatory protein GRIM-19; cell death-regulatory protein GRIM19; CGI-39; CI-B16.6; complex I B16.6 subunit; complex I-B16.6; FLJ58045; FLJ59191; gene associated with retinoic and IFN-induced mortality 19 protein; gene associated with retinoic and interferon-induced mortality 19 protein; Gene associated with retinoic-interferon-induced mortality 19 protein; genes associated with retinoid-IFN-induced mortality 19; GRIM19; GRIM-19; LOC100911483; mitochondrial NADH:ubiquinone oxidoreductase B16.6 subunit; NADH dehydrogenase (ubiquinone) 1 alpha subcomplex, 13; NADH dehydrogenase [ubiquinone] 1 alpha subcomplex subunit 13; NADH dehydrogenase [ubiquinone] 1 alpha subcomplex subunit 13-like; NADH:ubiquinone oxidoreductase subunit A13; NADH-ubiquinone oxidoreductase B16.6 subunit; Ndufa13; YjeF N-terminal domain-containing protein 3; YjeF_N3; Yjefn3 |
| Gene Symbols | Ndufa13, Ndufa13-ps1 |
| Show More |
Safety and Handling
By clicking Submit, you acknowledge that you may be contacted by Fisher Scientific in regards to the feedback you have provided in this form. We will not share your information for any other purposes. All contact information provided shall also be maintained in accordance with our Privacy Policy.