Promotional price valid on web orders only. Your contract pricing may differ. Interested in signing up for a dedicated account number?
Learn More
Learn More
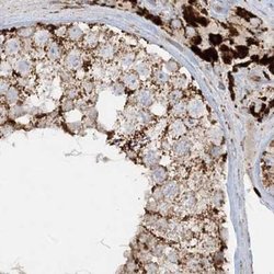
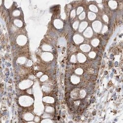
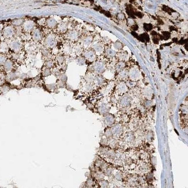
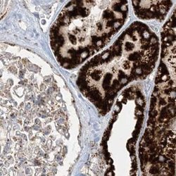
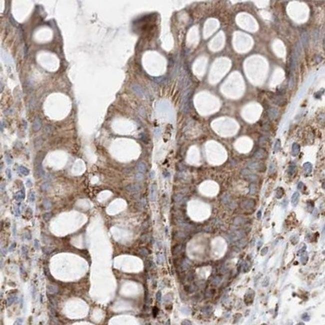
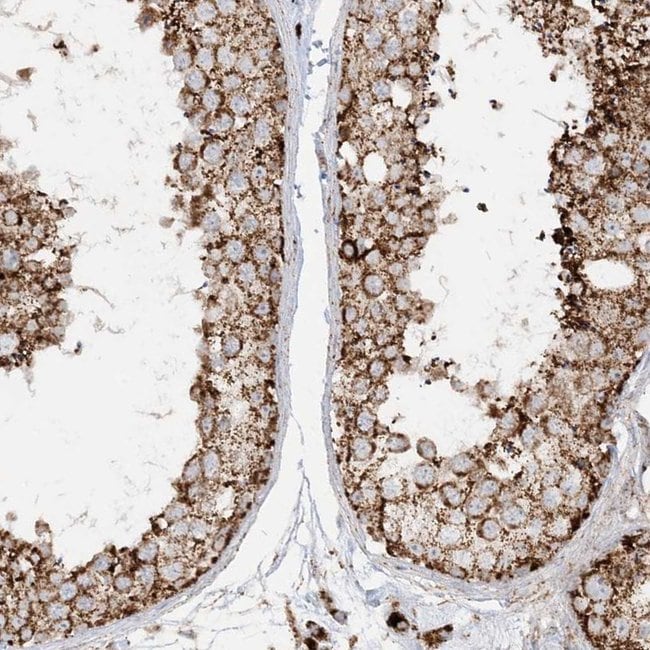
Invitrogen™ NDUFAF3 Polyclonal Antibody

Rabbit Polyclonal Antibody
Supplier: Invitrogen™ PA557249
Description
Immunogen sequence: ADDELYQRTR ISLLQREAAQ AMYIDSYNSR GFMINGNRVL GPCALLPHSV VQWNVGSHQD ITEDSF Highest antigen sequence identity to the following orthologs: Mouse - 82%, Rat - 86%.
This gene encodes a mitochondrial complex I assembly protein that interacts with complex I subunits. Mutations in this gene cause mitochondrial complex I deficiency, a fatal neonatal disorder of the oxidative phosphorylation system. Alternatively spliced transcript variants encoding different isoforms have been identified.
Specifications
| NDUFAF3 | |
| Polyclonal | |
| Unconjugated | |
| NDUFAF3 | |
| 2P1; 4733401H18Rik; C3orf60; E3-3; fc05g04; NADH dehydrogenase (ubiquinone) 1 alpha subcomplex, assembly factor 3; NADH dehydrogenase (ubiquinone) complex I, assembly factor 3; NADH dehydrogenase [ubiquinone] 1 alpha subcomplex assembly factor 3; NADH:ubiquinone oxidoreductase complex assembly factor; NADH:ubiquinone oxidoreductase complex assembly factor 3; NDUFAF3; Nuclear protein E3-3; protein 2P1; RGD708545; wu:fc05g04; zgc:153176 | |
| Rabbit | |
| Antigen Affinity Chromatography | |
| RUO | |
| 25915 | |
| Store at 4°C short term. For long term storage, store at -20°C, avoiding freeze/thaw cycles. | |
| Liquid |
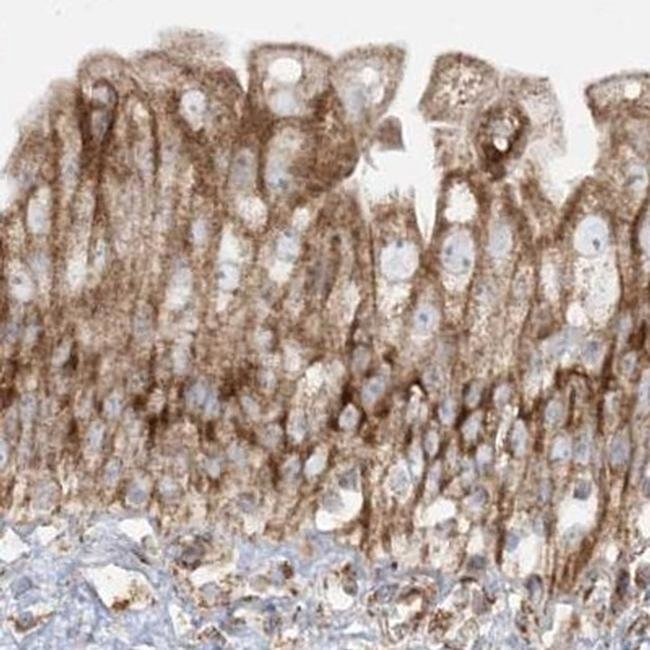
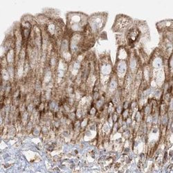
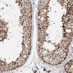
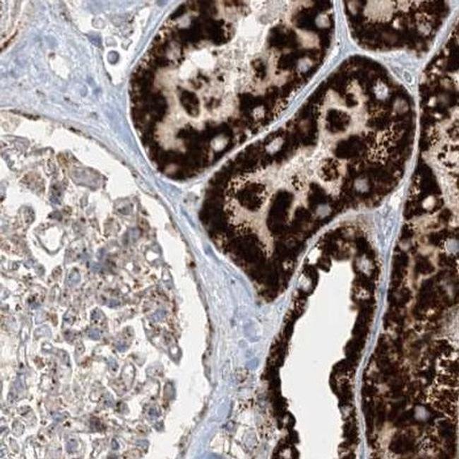
| Immunohistochemistry (Paraffin) | |
| 0.05 mg/mL | |
| PBS with 40% glycerol and 0.02% sodium azide; pH 7.2 | |
| Q9BU61 | |
| NDUFAF3 | |
| Recombinant protein corresponding to Human NDUFAF3. Recombinant protein control fragment (Product #RP-103968). | |
| 100 μL | |
| Primary | |
| Human | |
| Antibody | |
| IgG |
Product Content Correction
Your input is important to us. Please complete this form to provide feedback related to the content on this product.
Product Title
Spot an opportunity for improvement?Share a Content Correction