Learn More
Invitrogen™ NDUFB8 Recombinant Rabbit Monoclonal Antibody (JG61-36)

Description
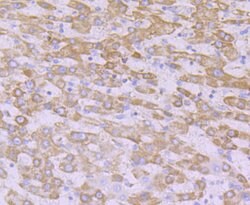
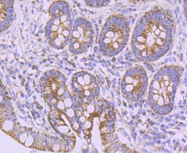
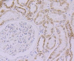
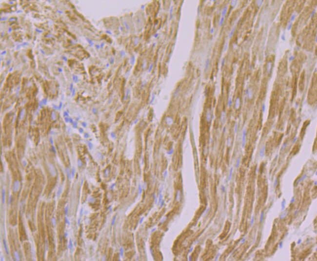
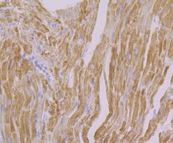
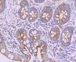
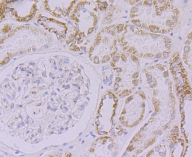
Positive Control: 293, A549, 293T, mouse heart tissue lysate, rat spleen tissue lysate, rat heart tissue, human liver cancer tissue, human kidney tissue, human small intestine tissue.
Specifications
Specifications
| Antigen | NDUFB8 |
| Applications | Immunohistochemistry (Paraffin), Immunoprecipitation, Western Blot, Immunocytochemistry |
| Classification | Recombinant Monoclonal |
| Clone | JG61-36 |
| Concentration | 1 mg/mL |
| Conjugate | Unconjugated |
| Formulation | TBS with 40% glycerol, 0.05% BSA and 0.05% sodium azide; pH 7.4 |
| Gene | NDUFB8 |
| Gene Accession No. | O95169 |
| Gene Alias | 19 kDa; 2900010I05Rik; AI987932; ASHI; CI-ASHI; complex I ASHI subunit; complex I-ASHI; NADH dehydrogenase; NADH dehydrogenase (ubiquinone) 1 beta subcomplex 8; NADH dehydrogenase (ubiquinone) 1 beta subcomplex, 8, 19kDa; NADH dehydrogenase [ubiquinone] 1 beta subcomplex subunit 8, mitochondrial; NADH dehydrogenase 1 beta subcomplex 8; NADH:ubiquinone oxidoreductase ASHI subunit; NADH:ubiquinone oxidoreductase subunit B8; NADH-ubiquinone oxidoreductase ASHI subunit; NDUFB8 |
| Show More |
By clicking Submit, you acknowledge that you may be contacted by Fisher Scientific in regards to the feedback you have provided in this form. We will not share your information for any other purposes. All contact information provided shall also be maintained in accordance with our Privacy Policy.