Promotional price valid on web orders only. Your contract pricing may differ. Interested in signing up for a dedicated account number?
Learn More
Learn More
Invitrogen™ NEFL Polyclonal Antibody

Rabbit Polyclonal Antibody
Supplier: Invitrogen™ PA534650
Description
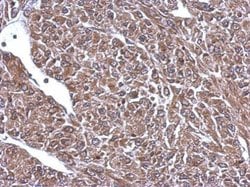
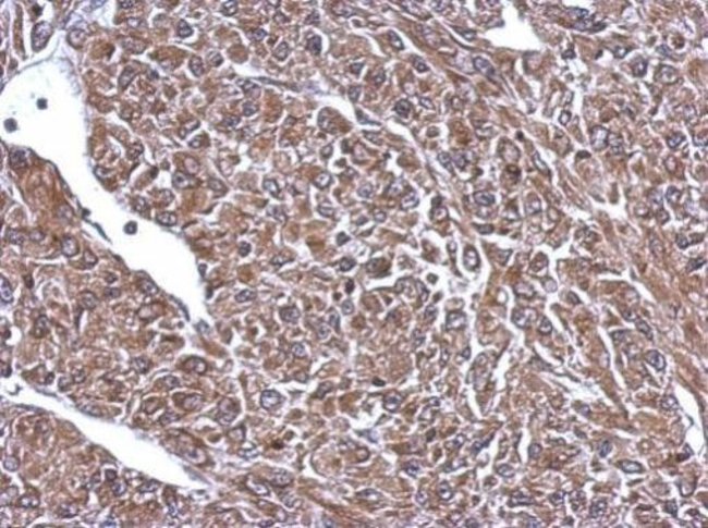
Recommended positive controls: human brain, PC-3, U87-MG, SK-N-SH, mouse cerebellum. Predicted reactivity: Rhesus Monkey (100%). Store product as a concentrated solution. Centrifuge briefly prior to opening the vial.
Involved in the maintenance of neuronal caliber, neurofilaments are the intermediate filament proteins found specifically in neurons, and are composed predominantly of three major proteins called NF-L, NF-M and NF-H. Like most other intermediate filament proteins (IFPs), the expression of the different neuronal IFPs is both tissue-specific and developmentally regulated. NF-L is the light or low molecular weight microfilament subunit and runs on SDS-PAGE gels at approximately 70 kDa. Neurofilament are the 10nm or intermediate filament proteins found specifically in neurons, and are composed predominantly of three major proteins called NF-L, NF-M and NF-H. NF-H is the heavy or high molecular weight microfilament subunit and runs on SDS-PAGE gels in the range 180-220 kDa, with some variation in different species.
Specifications
NEFL | |
Polyclonal | |
Unconjugated | |
NEFL | |
68 kDa neurofilament protein; AI847934; CMT1F; CMT2E; FLJ53642; light molecular weight neurofilament protein; micro glutamic acid-rich protein; NEF3; NEFL; nefl.L; neurofilament; neurofilament 3; neurofilament L subunit; neurofilament light; neurofilament light polypeptide; neurofilament protein; neurofilament protein L; neurofilament protein, light chain; neurofilament subunit NF-L; neurofilament triplet L protein; neurofilament, light L homeolog; neurofilament, light polypeptide; neurofilament, light polypeptide 68kDa; neurofilament, light polypeptide L homeolog; neurofilament-l; neurofilament-light; Nf68; NFL; N-FL; NF-L; NFM; NF-M; NLC; OTTHUMP00000196614; PPP1R110; protein phosphatase 1, regulatory subunit 110; XELAEV_18018673mg; XNF-L | |
Rabbit | |
Antigen affinity chromatography | |
RUO | |
18039, 4747, 83613 | |
Store at 4°C short term. For long term storage, store at -20°C, avoiding freeze/thaw cycles. | |
Liquid |
ELISA, Immunohistochemistry (Frozen), Immunohistochemistry (Paraffin), Western Blot, Immunocytochemistry | |
1.09 mg/mL | |
PBS with 20% glycerol and 0.025% ProClin 300; pH 7 | |
P07196, P08551, P19527 | |
NEFL | |
Recombinant protein encompassing a sequence within the center region of human NF-L. The exact sequence is proprietary. | |
100 μL | |
Primary | |
Human, Mouse, Rat | |
Antibody | |
IgG |
Safety and Handling
WARNING: Cancer - www.P65Warnings.ca.gov
Product Content Correction
Your input is important to us. Please complete this form to provide feedback related to the content on this product.
Product Title
Spot an opportunity for improvement?Share a Content Correction