Learn More
NES Mouse anti-Human, Clone: OTI3B12, lyophilized, TrueMAB™

Mouse Monoclonal Antibody
Supplier: OriGene CF809183
Description
Reconstitute with PBS (pH 7.3) and recommend to perform another round of desalting process using Product No. 7KMWCO
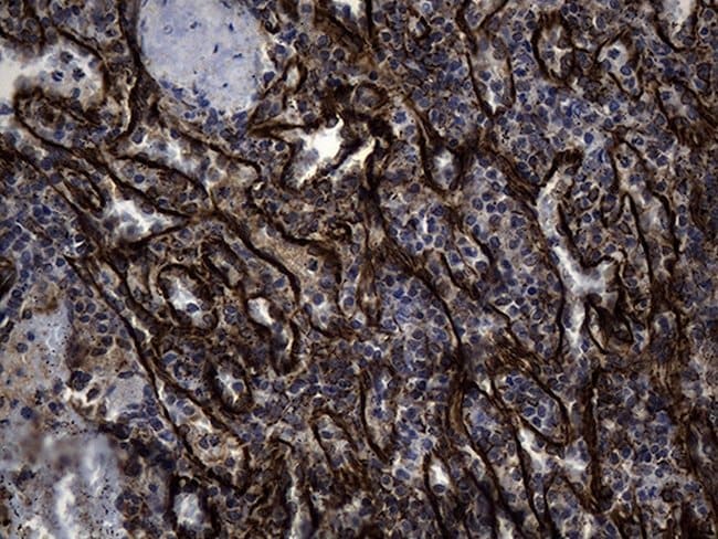
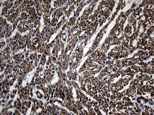
Nestin is a Class VI intermediate filament abundantly produced in the developing central nervous system (CNS) and in early embryonic neuroepithelial stem cells. Nestin has been widely used as a predomit marker for stem/progenitor cells, glioma cells, and tumor endothelial cells. Also, Nestin is a superior angiogenic marker to evaluate neovascularity of endothelial cells in tumors. Highly specific antibodies to human Nestin can aid in characterizing progenitor cells differentiating into distinct lineages, in enhancing the therapeutic potential of human neural stem/progenitor cells in the treatment of CNS diseases or injury, and in identifying neuroepithelial tumor cells. Nestin expression has been observed in pancreatic hematopoietic stem cell populations, and is considered a novel angiogenesis marker of proliferating endothelial cells in colorectal cancer tissue.Specifications
| NES | |
| Monoclonal | |
| Unconjugated | |
| NES | |
| Nbla00170 | |
| Mouse | |
| Affinity Chromatography | |
| RUO | |
| 10763 | |
| -20° C, Avoid Freeze/Thaw Cycles | |
| Lyophilized |
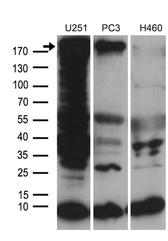
| Immunohistochemistry (Paraffin), Western Blot | |
| OTI3B12 | |
| PBS with 8% trehalose and no preservative; pH 7.3 | |
| P48681 | |
| NES | |
| Human recombit protein fragment corresponding to amino acids 99-349 of human NES produced in E.coli. | |
| 100 μg | |
| Primary | |
| Human | |
| Antibody | |
| IgG1 |
The Fisher Scientific Encompass Program offers items which are not part of our distribution portfolio. These products typically do not have pictures or detailed descriptions. However, we are committed to improving your shopping experience. Please use the form below to provide feedback related to the content on this product.