Promotional price valid on web orders only. Your contract pricing may differ. Interested in signing up for a dedicated account number?
Learn More
Learn More
Invitrogen™ Neuropilin 1 Polyclonal Antibody

Rabbit Polyclonal Antibody
Supplier: Invitrogen™ PA526079
Description
This antibody is predicted to react with mouse based on sequence homology.
Neuropilin 1 is a 923 amino acid containing membrane bound coreceptor to a tyrosine kinase receptor belonging to the neuropilin family with two CUB domains, two F5/8 type C domains and a MAM domain. Neuropilin 1 forms a heterodimer with NRP2 (Neuropilin 2) and is known to bind to plexin (PLXNB1) to form semaphorin receptors. Expressed mostly in the nervous system this receptor is implicated in a wide range of functions including in the development of the cardiovascular system, angiogenesis, repulsive axon guidance, formation of certain neuronal circuits, cell survival, control of neuronal migration and organogenesis outside the nervous system. This semaphorin receptor functions as receptors for both the semaphorins and vascular endothelial growth factor and is also a regulator of VEGF-induced angiogenesis. Neuropilin 1 may be involved in aggressive advanced prostate carcinoma and in the progression of breast cancer.
Specifications
Neuropilin 1 | |
Polyclonal | |
Unconjugated | |
NRP1 | |
A5 protein; BDCA4; C530029I03; CD304; Neuropilin; neuropilin 1; Neuropilin1; neuropilin-1; Neuropilin-1 precursor (A5 protein); NP1; NP-1; Npn1; NPN-1; NRP; NRP 1; Nrp1; sNRP 1; sNRP1; soluble NRP 1; soluble NRP1; transmembrane receptor; vascular endothelial cell growth factor 165 receptor; VEGF165R | |
Rabbit | |
Antigen affinity chromatography, Protein A | |
RUO | |
8829 | |
Store at 4°C short term. For long term storage, store at -20°C, avoiding freeze/thaw cycles. | |
Liquid |
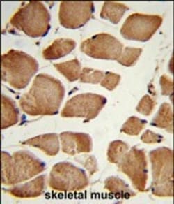
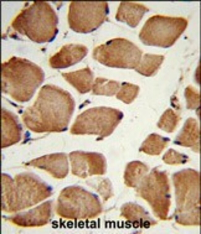
Flow Cytometry, Immunohistochemistry (Paraffin), Western Blot | |
0.5 mg/mL | |
PBS with 0.09% sodium azide; pH 7.4 | |
O14786 | |
NRP1 | |
KLH conjugated synthetic peptide between 722-750 amino acids from the C-terminal region of human NRP1. | |
400 μL | |
Primary | |
Human | |
Antibody | |
IgG |
Safety and Handling
WARNING: Cancer - www.P65Warnings.ca.gov
Product Content Correction
Your input is important to us. Please complete this form to provide feedback related to the content on this product.
Product Title
Spot an opportunity for improvement?Share a Content Correction