Promotional price valid on web orders only. Your contract pricing may differ. Interested in signing up for a dedicated account number?
Learn More
Learn More
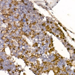
Invitrogen™ Neutrophil elastase Recombinant Rabbit Monoclonal Antibody (8X4E6)

Rabbit Recombinant Monoclonal Antibody
Supplier: Invitrogen™ MA542901
This item is not returnable.
View return policy
Description
Positive test controls include: THP-1, U-937. Immunogen sequence: SVLQELNVTV VTSLCRRSNV CTLVRGRQAG VCFGDSGSPL VCNGLIHGIA SFVRGGCASG LYPDAFAPVA QFVNWIDSII QRSEDNPCPH PRDPDPASRT H.
The neutrophil form of elastase is 218 amino acids long, with two asparagine-linked carbohydrate chains (see glycosylation). It is present in azurophil granules in the neutrophil cytoplasm. There appear to be two forms of neutrophil elastase, termed IIa and IIb.
Specifications
| Neutrophil elastase | |
| Recombinant Monoclonal | |
| 0.3 mg/mL | |
| PBS with 0.05% BSA, 50% glycerol and 0.02% sodium azide; pH 7.3 | |
| P08246, Q3UP87 | |
| ELANE | |
| A synthetic peptide corresponding to a sequence within amino acids 167-267 of human Neutrophil Elastase (ELANE) (P08246). | |
| 100 μL | |
| Primary | |
| Human, Mouse | |
| Antibody | |
| IgG |
| ELISA, Immunohistochemistry (Paraffin), Immunoprecipitation, Western Blot, Immunocytochemistry | |
| 8X4E6 | |
| Unconjugated | |
| ELANE | |
| bone marrow serine protease; ELA2; ELA2A; ELANE; Elastase; elastase 2, neutrophil; elastase, neutrophil expressed; Elastase2; elastase-2; F430011M15Rik; GE; granulocyte-derived elastase; HLE; HNE; Human leukocyte elastase; Leukocyte elastase; medullasin; NE; neutrophil elastase; PE-1; PMN elastase; PMN-E; polymorphonuclear elastase; SCN1; serine protease | |
| Rabbit | |
| Affinity Chromatography | |
| RUO | |
| 1991, 50701 | |
| -20°C, Avoid Freeze/Thaw Cycles | |
| Liquid |
Product Content Correction
Your input is important to us. Please complete this form to provide feedback related to the content on this product.
Product Title
Spot an opportunity for improvement?Share a Content Correction