Promotional price valid on web orders only. Your contract pricing may differ. Interested in signing up for a dedicated account number?
Learn More
Learn More
NFATC1/NFAT2 Antibody (7A6), Novus Biologicals™

Mouse Monoclonal Antibody has been used in 2 publications
Supplier: Novus Biologicals NB300620
Description
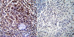
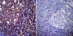
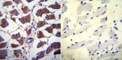
NFATC1/NFAT2 Monoclonal specifically detects NFATC1/NFAT2 in Human, Mouse, Rat, Hamster, Primate, Rabbit samples. It is validated for Western Blot, Simple Western, Chromatin Immunoprecipitation, Immunohistochemistry, Immunocytochemistry/Immunofluorescence, Immunoprecipitation, Immunohistochemistry-Paraffin, Gel Super Shift Assays.Specifications
NFATC1/NFAT2 | |
Monoclonal | |
9.25mg/mL | |
Western Blot 1:100 - 1:2000, Simple Western, Immunohistochemistry 1:20 - 1:200, Immunocytochemistry/Immunofluorescence 1:10-1:500, Immunoprecipitation 1:10 - 1:500, Immunohistochemistry-Paraffin 1:20 - 1:200, Gel Super Shift Assays 1:1 - 1:100, Chromatin Immunoprecipitation (ChIP) 1:10-1:500 | |
MGC138448, NFAT transcription complex cytosolic component, NFAT2cytoplasmic 1, NFATC, NF-ATC, NFATc1, NF-ATc1, nuclear factor of activated T-cells, cytoplasmic, calcineurin-dependent 1 | |
Mouse | |
Unpurified | |
RUO | |
Primary | |
Detects cytosolic nuclear factor of activated T-cells (NFAT 2) from transfected human, mouse, and monkey cells. This does not cross react with NFATp. | |
Store at -20C. Avoid freeze-thaw cycles. | |
IgG1 |
Western Blot, Immunohistochemistry, Immunocytochemistry, Immunofluorescence, Immunoprecipitation, Immunohistochemistry (Paraffin), Immunoprecipitation | |
7A6 | |
Unconjugated | |
O95644 | |
NFATC1 | |
Bacterially expressed glutathione S-transferase (GST) fusion protein containing NF-ATc1 residues 1-654. | |
100 μL | |
Wnt Signaling Pathway | |
4772 | |
Human, Mouse, Rat, Hamster, Primate, Rabbit | |
Ascites |
Product Content Correction
Your input is important to us. Please complete this form to provide feedback related to the content on this product.
Product Title
For Research Use Only
Spot an opportunity for improvement?Share a Content Correction