Promotional price valid on web orders only. Your contract pricing may differ. Interested in signing up for a dedicated account number?
Learn More

NFATc3 Rabbit anti-Human, Polyclonal, Bethyl Laboratories

Rabbit Polyclonal Antibody

Supplier:  Bethyl Laboratories, Inc A303570A

Encompass_Preferred

Catalog No. 50-156-5498


May include imposed supplier surcharges.
Only null left
Add to Cart

Description

Description

The recommended shelf life for this product is 1 year from date of receipt. Based on 100% sequence identity, this antibody is predicted to react with Mouse

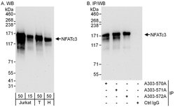
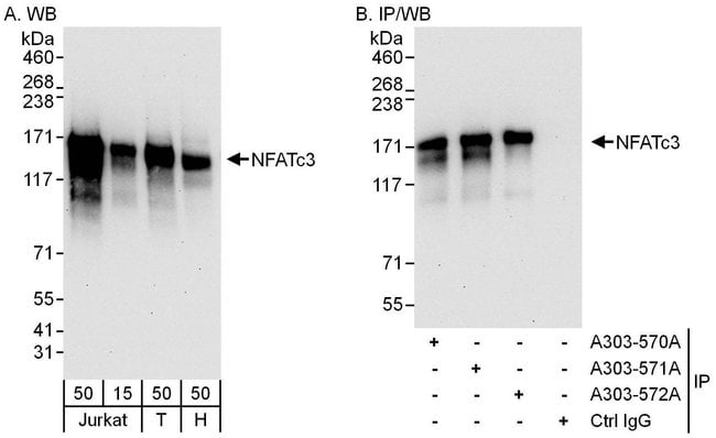
Acts as a regulator of transcriptional activation. Plays a role in the inducible expression of cytokine genes in T-cells, especially in the induction of the IL-2.
Specifications

Specifications

NFATc3
Polyclonal
Unconjugated
NFATC3
NF-AT4, NF-ATc3, NFAC3, NFATC3, NFATx, NFC3, Nuclear factor of activated T-cells, cytoplasmic 3, T cell transcription factor NFAT4
Rabbit
Antigen affinity chromatography
RUO
4775
4° C
Liquid
Immunoprecipitation, Western Blot
1 mg/ml
phosphate, tris citrate with 0.09% sodium azide; pH 7-8
Q12968
NFATC3
Between 100 and 150
100 μL
Primary
Human
Antibody
IgG
Product Suggestions

Product Suggestions

Videos
SDS
Documents

Documents

Product Certifications
Promotions

Promotions

Product Content Correction

The Fisher Scientific Encompass Program offers items which are not part of our distribution portfolio. These products typically do not have pictures or detailed descriptions. However, we are committed to improving your shopping experience. Please use the form below to provide feedback related to the content on this product.

Product Title

By clicking Submit, you acknowledge that you may be contacted by Fisher Scientific in regards to the feedback you have provided in this form. We will not share your information for any other purposes. All contact information provided shall also be maintained in accordance with our Privacy Policy.

Your feedback has been submitted: Thank you for helping us improve our website.