Promotional price valid on web orders only. Your contract pricing may differ. Interested in signing up for a dedicated account number?
Learn More
Learn More
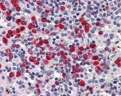
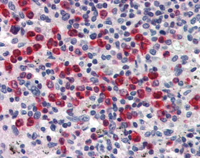
Invitrogen™ NGAL Polyclonal Antibody

Goat Polyclonal Antibody
Supplier: Invitrogen™ PA518382
Description
This antibody is tested in Peptide ELISA: antibody detection limit dilution 16,000.
NGAL (Neutrophil gelatinase-associated lipocalin, lipocalin 2, siderocalin and neutrophil lipocalin) is a 25 kDa glycosylated single chain monomer and member of the lipocalin family of proteins that bind and transport small lipophilic molecules. NGAL is released by activated neutrophils, can form dimers and small amounts of higher oligomers, and complexes with matrix metalloproteinase 9 (MMP-9, gelatinase B). Low level expression of NGAL in a variety of epithelia may be increased in inflammation or cancers. Expression of NGAL in the kidney is dramatically increased by ischemic or nephrotoxic kidney injury.
Specifications
| NGAL | |
| Polyclonal | |
| Unconjugated | |
| LCN2 | |
| 24p3; 25 kDa alpha-2-microglobulin-related subunit of MMP-9; alpha-2-microglobulin-related protein; Alpha-2U globulin-related protein; AW212229; HGNC:6526; HNL; LCN2; lipocalin 2; lipocalin 2 (oncogene 24p3); Lipocalin 24p3; Lipocalin2; Lipocalin-2; migration-stimulating factor inhibitor; MSFI; neutrophil gelatinase-associated lipocalin; NGAL; oncogene 24p3; OTTHUMP00000022240; p25; RP23-161B9.11; secreted inducible protein 24; Siderocalin; Siderocalin LCN2; Sip24; SV-40-induced 24P3 protein; uterocalin | |
| Goat | |
| Ammonium sulfate precipitation | |
| RUO | |
| 3934 | |
| -20°C, Avoid Freeze/Thaw Cycles | |
| Liquid |
| Immunohistochemistry (Paraffin), Western Blot | |
| 0.5 mg/mL | |
| TBS with 0.5% BSA and 0.02% sodium azide; pH 7.3 | |
| P80188 | |
| LCN2 | |
| Synthetic peptide sequence (AILREDKDPQKMY) corresponding to the internal amino acids of LCN2 (aa 60-73). | |
| 100 μg | |
| Primary | |
| Human | |
| Antibody | |
| IgG |
Safety and Handling
WARNING: Cancer - www.P65Warnings.ca.gov
Product Content Correction
Your input is important to us. Please complete this form to provide feedback related to the content on this product.
Product Title
Spot an opportunity for improvement?Share a Content Correction