Learn More
Invitrogen™ NGDN Monoclonal Antibody (OTI1H4)

Description
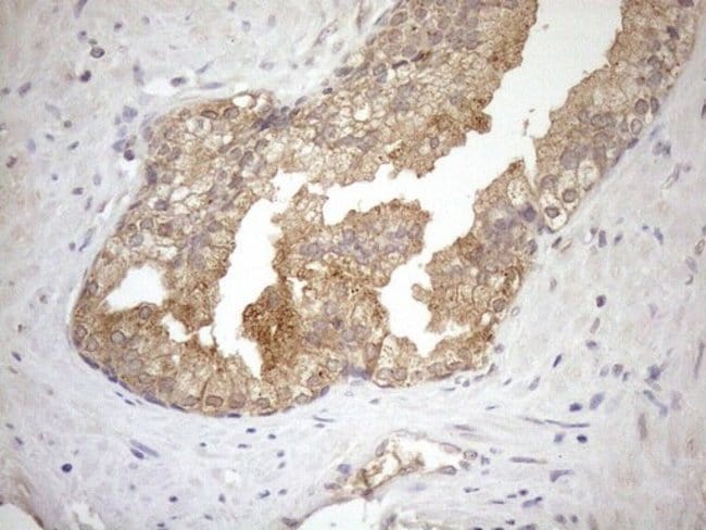
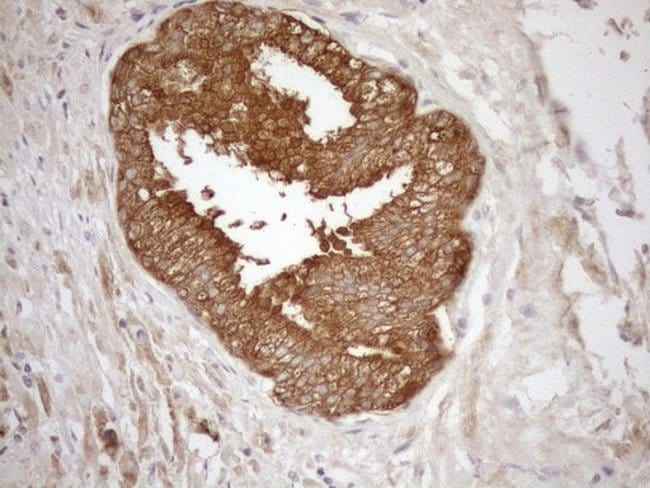
NGDN Monoclonal Antibody for Western Blot, IHC (P)
Specifications
Specifications
| Antigen | NGDN |
| Applications | Immunohistochemistry (Paraffin), Western Blot |
| Classification | Monoclonal |
| Clone | OTI1H4 |
| Concentration | 1 mg/mL |
| Conjugate | Unconjugated |
| Formulation | PBS with 1% BSA, 50% glycerol and 0.02% sodium azide; pH 7.3 |
| Gene | Ngdn |
| Gene Accession No. | Q8NEJ9 |
| Gene Alias | 1500001L15Rik; C14orf120; CANu1; Centromere accumulated nuclear protein 1; EIF4E-binding protein; eukaryotic initiation factor 4E and CPEB binding protein; LCP5; lpd-2; neuroguidin; neuroguidin, EIF4E binding protein; NGD; Ngdn; RGD1310211 |
| Show More |
By clicking Submit, you acknowledge that you may be contacted by Fisher Scientific in regards to the feedback you have provided in this form. We will not share your information for any other purposes. All contact information provided shall also be maintained in accordance with our Privacy Policy.