Promotional price valid on web orders only. Your contract pricing may differ. Interested in signing up for a dedicated account number?
Learn More
Learn More
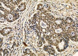
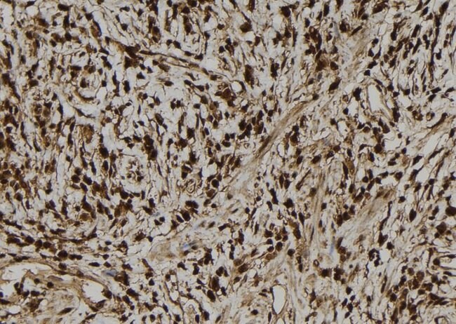
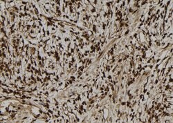
Invitrogen™ NGRN Polyclonal Antibody

Rabbit Polyclonal Antibody
Supplier: Invitrogen™ PA5103958
Description
Antibody detects endogenous levels of total NGRN.
NGRN may be involved in neuronal differentiation.
Specifications
NGRN | |
Polyclonal | |
Unconjugated | |
NGRN | |
AW552001; DSC92; FI58G; FI58Gm; HT020; mesenchymal stem cell protein DSC92; m-Neugrin; Neugrin; neugrin, neurite outgrowth associated; neurite outgrowth associated protein; neurite outgrowth-associated protein; NGRN; Spinal cord-derived protein FI58G | |
Rabbit | |
Affinity chromatography | |
RUO | |
51335 | |
-20°C | |
Liquid |
Immunohistochemistry (Paraffin), Western Blot, Immunocytochemistry | |
1 mg/mL | |
PBS with 50% glycerol and 0.02% sodium azide; pH 7.4 | |
Q9NPE2 | |
NGRN | |
A synthesized peptide derived from human NGRN(Accession Q9NPE2), corresponding to amino acid residues V17-Q67. | |
100 μL | |
Primary | |
Human | |
Antibody | |
IgG |
Safety and Handling
WARNING: Cancer - www.P65Warnings.ca.gov
Product Content Correction
Your input is important to us. Please complete this form to provide feedback related to the content on this product.
Product Title
Spot an opportunity for improvement?Share a Content Correction