Promotional price valid on web orders only. Your contract pricing may differ. Interested in signing up for a dedicated account number?
Learn More
Learn More
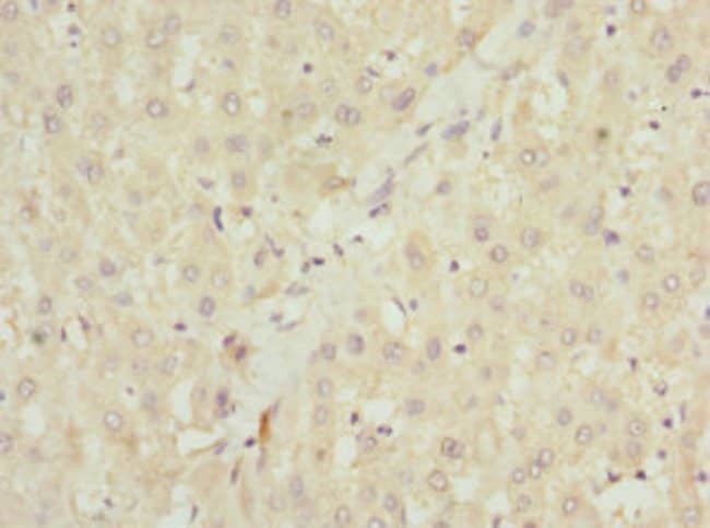
Invitrogen™ NHLRC1 Polyclonal Antibody

Rabbit Polyclonal Antibody
Supplier: Invitrogen™ PA5113015
Description
NHLRC1 Polyclonal Antibody for Western Blot, IHC (P), ELISA
Progressive myoclonic epilepsy type 2 (EPM2), also called Lafora disease, is an autosomal recessive disease characterized by grand mal seizures and/or myoclonus at about 15 years of age. Rapid and severe mental deterioration follows, often with psychotic features. Survival is less than 10 years after onset. Starch-like, endoplasmic reticulum-associated polyglucosans, called Lafora bodies, can be observed in brain, muscle, liver and heart. One cause of Lafora disease is due to mutations in NHLRC1, the gene encoding Malin. Forty-nine different mutations in NHLRC1 have been shown to cause EPM2. Malin, also called NHL repeat-containing protein 1, is a single subunit E3 ubiquitin ligase, containing 6 NHL repeats and 1 RING-type zinc finger. Malin's RING domain is responsible for its ability to mediate ubiquitination. Malin interacts with and polyubiquitinates Laforin, a protein also implicated in EPM2. Malin localizes to the endoplasmic reticulum and, to a lesser extent, in the nucleus. Malin is expressed in brain, cerebellum, spinal cord, medulla, heart, liver, skeletal muscle and pancreas.
Specifications
| NHLRC1 | |
| Polyclonal | |
| Unconjugated | |
| NHLRC1 | |
| AI505271; B230309E09Rik; bA204B7.2; E3 ubiquitin-protein ligase NHLRC1; EPM2A; EPM2B; Malin; NHL repeat containing 1; NHL repeat containing E3 ubiquitin protein ligase 1; NHL repeat-containing protein 1; NHLRC1; RING-type E3 ubiquitin transferase NHLRC1 | |
| Rabbit | |
| Antigen affinity chromatography | |
| RUO | |
| 364682, 378884 | |
| -20°C or -80°C if preferred | |
| Liquid |
| ELISA, Immunohistochemistry (Paraffin), Western Blot | |
| 3.63 mg/mL | |
| PBS with 50% glycerol and 0.02% sodium azide; pH 7.3 | |
| Q6IMG5, Q6VVB1 | |
| NHLRC1 | |
| Recombinant Human E3 ubiquitin-protein ligase NHLRC1 protein (1-280AA). | |
| 100 μL | |
| Primary | |
| Human, Rat | |
| Antibody | |
| IgG |
Safety and Handling
WARNING: Cancer - www.P65Warnings.ca.gov
Product Content Correction
Your input is important to us. Please complete this form to provide feedback related to the content on this product.
Product Title
Spot an opportunity for improvement?Share a Content Correction