Promotional price valid on web orders only. Your contract pricing may differ. Interested in signing up for a dedicated account number?
Learn More
Learn More
Nitrotyrosine Rabbit anti-Human, Polyclonal, Bioss

Rabbit Polyclonal Antibody
Supplier: Bioss BS8551R
Description
Nitrotyrosine is a relatively stable product formed from various reaction pathways. Perhaps most notable is the reaction of peroxynitrite (formed from superoxide and nitric oxide (NO) radicals) with tyrosine. As a strong oxidant and nitrating agent, peroxynitrite mediates tyrosine nitration reactions on proteins resulting in inactivation of certain housekeeping enzymes (e. g., alpha1-antiproteinase) as well as endogenous antioxidant enzymes such as catalase and superoxide dismutase (SOD). Nitrotyrosine has been identified as an indicator of cell damage and inflammation, as well as of the production of NO. It is believed that measuring the concentration of nitrotyrosine will serve as a marker for damage caused by NO in the cell. Nitrotyrosine has been implicated in the pathogenesis of several inflammatory, infectious, and degenerative human diseases, such as Alzheimer′s and Parkinson′s disease, multiple sclerosis, amyotrophic lateral sclerosis (ALS), asthma, atherosclerosis, and a variety of conditions precipitated by endothelial injury. At the protein level, tyrosine nitration can lead to loss or alteration of protein function, as demonstrated for the oncogenic protein p53 and the mitochondrial protein, manganese-dependent superoxide dismutase (MnSOD).Specifications
| Nitrotyrosine | |
| Polyclonal | |
| Unconjugated | |
| Nitro-tyrosine | |
| KLH conjugated to Nitrotyrosine. | |
| 100 μL | |
| Primary | |
| -20°C | |
| Liquid |
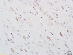
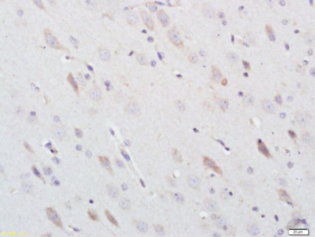
| Flow Cytometry, Immunofluorescence, Immunohistochemistry (Paraffin) | |
| 1 μg/mL | |
| PBS with 1% BSA, 50% glycerol and 0.09% sodium azide; pH | |
| Rabbit | |
| Protein A | |
| RUO | |
| Human | |
| Antibody | |
| IgG |
Product Content Correction
The Fisher Scientific Encompass Program offers items which are not part of our distribution portfolio. These products typically do not have pictures or detailed descriptions. However, we are committed to improving your shopping experience. Please use the form below to provide feedback related to the content on this product.
Product Title
Spot an opportunity for improvement?Share a Content Correction