Promotional price valid on web orders only. Your contract pricing may differ. Interested in signing up for a dedicated account number?
Learn More
Learn More
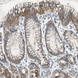
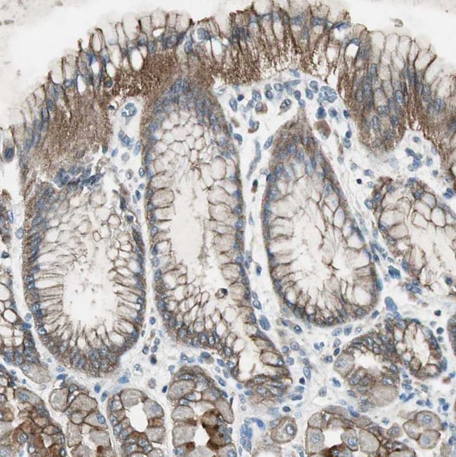
Invitrogen™ NKAIN1 Polyclonal Antibody

Rabbit Polyclonal Antibody
Supplier: Invitrogen™ PA552355
Description
Immunogen sequence: DRDFIMTFNT SLHRSWWMEN GPGCLVTPVL NSRLALEDHH VISVTGCLLD YPY Highest antigen sequence identity to the following orthologs: Mouse - 100%, Rat - 100%.
NKAIN1 is a member of a family of mammalian proteins with similarity to Drosophila Nkain and interacts with the beta subunit of Na,K-ATPase (ATP1B1).
Specifications
NKAIN1 | |
Polyclonal | |
Unconjugated | |
NKAIN1 | |
FAM77C; family with sequence similarity 77, member C; Na(+)/K(+)-transporting ATPase subunit beta-1-interacting protein 1; Na+/K+ transporting ATPase interacting 1; NKAIN1; Protein FAM77C; Sodium/potassium-transporting ATPase subunit beta-1-interacting protein 1 | |
Rabbit | |
Antigen Affinity Chromatography | |
RUO | |
79570 | |
Store at 4°C short term. For long term storage, store at -20°C, avoiding freeze/thaw cycles. | |
Liquid |
Immunohistochemistry (Paraffin) | |
0.1 mg/mL | |
PBS with 40% glycerol and 0.02% sodium azide; pH 7.2 | |
Q4KMZ8 | |
NKAIN1 | |
Recombinant protein corresponding to Human NKAIN1. Recombinant protein control fragment (Product #RP-89706). | |
100 μL | |
Primary | |
Human | |
Antibody | |
IgG |
Product Content Correction
Your input is important to us. Please complete this form to provide feedback related to the content on this product.
Product Title
Spot an opportunity for improvement?Share a Content Correction