Promotional price valid on web orders only. Your contract pricing may differ. Interested in signing up for a dedicated account number?
Learn More
Learn More
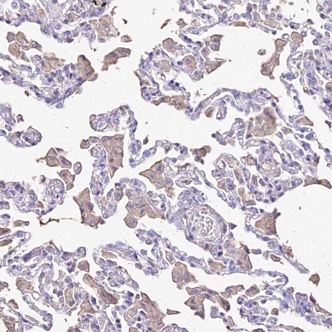
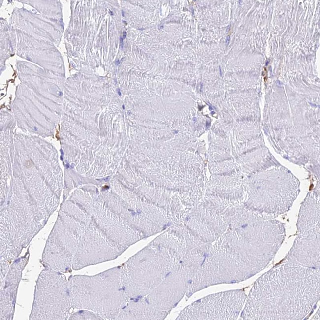
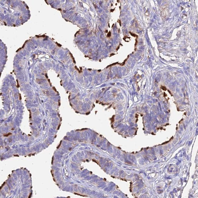
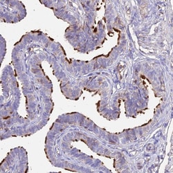
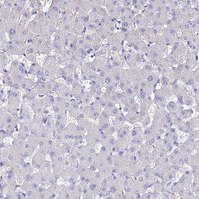
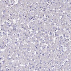
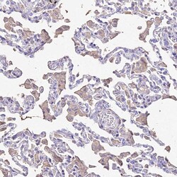
Invitrogen™ NME5 Polyclonal Antibody

Rabbit Polyclonal Antibody
Supplier: Invitrogen™ PA560746
Description
Immunogen sequence: FMFPEVIVEP IPIGQAAKDY LNLHIMPTLL EGLTELCKQK PADPLIWLAD WLLKNNPNKP KLCHHPI Highest antigen sequence identity to the following orthologs: Mouse - 79%, Rat - 85%.
Does not seem to have NDK kinase activity. Confers protection from cell death by Bax and alters the cellular levels of several antioxidant enzymes including Gpx5. May play a role in spermiogenesis by increasing the ability of late-stage spermatids to eliminate reactive oxygen species.
Specifications
NME5 | |
Polyclonal | |
Unconjugated | |
NME5 | |
1700019D05Rik; expressed in non-metastatic cells 5; inhibitor of p53-induced apoptosis-beta; IPIA-beta; NDK-H 5; NDP kinase homolog 5; NM23H5; NM23-H5; nm23-M5; NME/NM23 family member 5; NME5; non-metastatic cells 5 protein expressed in; non-metastatic cells 5, protein expressed in (nucleoside-diphosphate kinase); nucleoside diphosphate kinase homolog 5; radial spoke 23 homolog; RSPH23; testis-specific nm23 homolog | |
Rabbit | |
Antigen Affinity Chromatography | |
RUO | |
8382 | |
Store at 4°C short term. For long term storage, store at -20°C, avoiding freeze/thaw cycles. | |
Liquid |
Immunohistochemistry (Paraffin) | |
0.2 mg/mL | |
PBS with 40% glycerol and 0.02% sodium azide; pH 7.2 | |
P56597 | |
NME5 | |
Recombinant protein corresponding to Human NME5. | |
100 μL | |
Primary | |
Human | |
Antibody | |
IgG |
Product Content Correction
Your input is important to us. Please complete this form to provide feedback related to the content on this product.
Product Title
Spot an opportunity for improvement?Share a Content Correction