Promotional price valid on web orders only. Your contract pricing may differ. Interested in signing up for a dedicated account number?
Learn More
Learn More
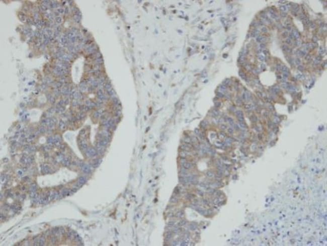
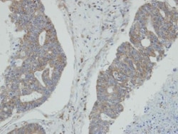
Invitrogen™ NMI Polyclonal Antibody

Rabbit Polyclonal Antibody
Supplier: Invitrogen™ PA527804
Description
Recommended positive controls: 293T, A431, H1299, HeLaS3, HepG2, Raji. Predicted reactivity: Rhesus Monkey (95%). Store product as a concentrated solution. Centrifuge briefly prior to opening the vial.
NMYC interactor (NMI) encodes a protein that interacts with NMYC and CMYC (two members of the oncogene Myc family), and other transcription factors containing a Zip, HLH, or HLH-Zip motif. The NMI protein also interacts with all STATs except STAT2 and augments STAT-mediated transcription in response to cytokines IL2 and IFN-gamma. The NMI mRNA has low expression levels in all human fetal and adult tissues tested except brain and has high expression in cancer cell line-myeloid leukemias.
Specifications
| NMI | |
| Polyclonal | |
| Unconjugated | |
| NMI | |
| N-mcy (and STAT) interactor; Nmi; N-myc (and STAT) interactor; N-myc and STAT interactor; N-myc interactor; N-myc-interactor | |
| Rabbit | |
| Antigen affinity chromatography | |
| RUO | |
| 9111 | |
| Store at 4°C short term. For long term storage, store at -20°C, avoiding freeze/thaw cycles. | |
| Liquid |
| Immunohistochemistry (Paraffin), Western Blot | |
| 0.69 mg/mL | |
| 0.1M tris glycine with 10% glycerol and 0.01% thimerosal; pH 7 | |
| Q13287 | |
| NMI | |
| Recombinant protein encompassing a sequence within the center region of human N-myc interactor. The exact sequence is proprietary. | |
| 100 μL | |
| Primary | |
| Human | |
| Antibody | |
| IgG |
Product Content Correction
Your input is important to us. Please complete this form to provide feedback related to the content on this product.
Product Title
Spot an opportunity for improvement?Share a Content Correction