Promotional price valid on web orders only. Your contract pricing may differ. Interested in signing up for a dedicated account number?
Learn More
Learn More
Invitrogen™ NNT1 Polyclonal Antibody

Rabbit Polyclonal Antibody
Supplier: Invitrogen™ PA529935
Description
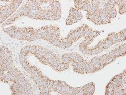
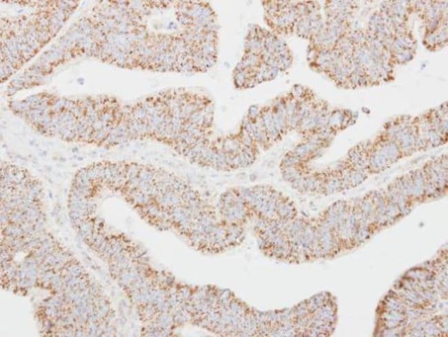
Recommended positive controls: human CLCF1-transfected 293T cells. Predicted reactivity: Mouse (96%), Rat (96%). Store product as a concentrated solution. Centrifuge briefly prior to opening the vial.
NNT-1/BCSF-3 is a neurotrophic factor with B-cell-stimulating capabilities. Expressed in the lymph nodes and spleen, NNT-1/BCSF-3 activates glycoprotein 130 (gp130) and leukemia inhibitory factor receptor member b (LIFR-b) by binding and inducing the tyrosine phosphorylation of these receptors. In vitro, it supports the survival of chick embryo motor and sympathetic neurons. In mice, NNT-1/BCSF-3 induces serum amyloid A, causes body weight loss, and B cell hyperplasia associated with increases in serum IgG and IgM.
Specifications
| NNT1 | |
| Polyclonal | |
| Unconjugated | |
| CLCF1 | |
| b cell-stimulating factor 3; B-cell stimulating factor 3; B-cell stimulatory factor 3; B-cell-stimulating factor 3; Bsf3; BSF-3; Cardiotrophin-like cytokine factor 1; CISS2; Clc; CLCF1; CRLF1 associated cytokine-like factor 1; neurotrophin-1/B-cell stimulating factor-3; NNT1; NNT-1; NNT-1/BSF-3; Novel neurotrophin-1; NR6 | |
| Rabbit | |
| Antigen affinity chromatography | |
| RUO | |
| 23529 | |
| Store at 4°C short term. For long term storage, store at -20°C, avoiding freeze/thaw cycles. | |
| Liquid |
| Immunohistochemistry (Paraffin), Western Blot, Immunocytochemistry | |
| 1 mg/mL | |
| 0.1M tris glycine with 20% glycerol and 0.01% thimerosal; pH 7 | |
| Q9UBD9 | |
| CLCF1 | |
| Recombinant protein encompassing a sequence within the center region of human NNT1. The exact sequence is proprietary. | |
| 100 μL | |
| Primary | |
| Human | |
| Antibody | |
| IgG |
Safety and Handling
WARNING: Cancer - www.P65Warnings.ca.gov
Product Content Correction
Your input is important to us. Please complete this form to provide feedback related to the content on this product.
Product Title
Spot an opportunity for improvement?Share a Content Correction