Promotional price valid on web orders only. Your contract pricing may differ. Interested in signing up for a dedicated account number?
Learn More
Learn More
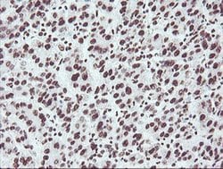
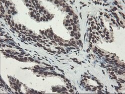
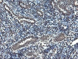
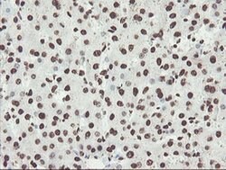
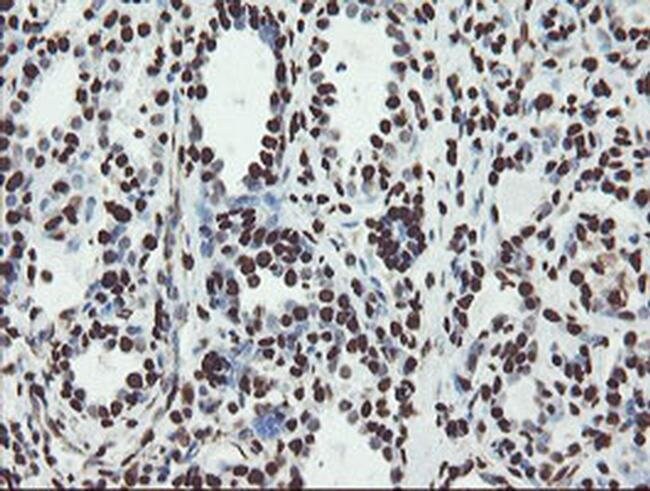
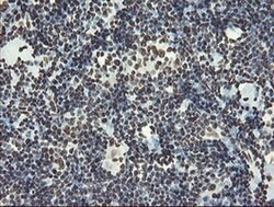
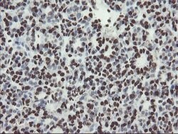
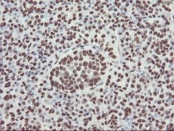
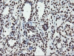
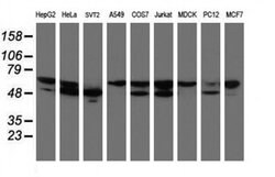
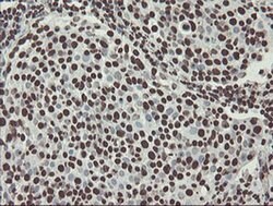
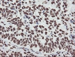
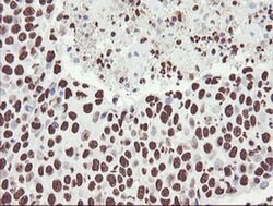
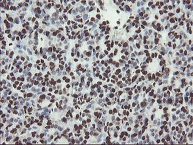
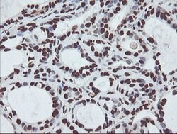
NONO Monoclonal Antibody (OTI2C9), TrueMAB™, OriGene

Mouse Monoclonal Antibody
Supplier: OriGene TA504830

Description
This gene encodes an RNA-binding protein which plays various roles in the nucleus, including transcriptional regulation and RNA splicing. A rearrangement between this gene and the transcription factor E3 gene has been observed in papillary renal cell carcinoma. Alternatively spliced transcript variants have been described. Pseudogenes exist on Chromosomes 2 and 16.Specifications
NONO | |
Monoclonal | |
1 mg/mL | |
PBS with 1% BSA, 50% glycerol and 0.02% sodium azide | |
Q15233, Q5FVM4, Q99K48 | |
Nono | |
Human recombit protein fragment corresponding to amino acids 184-385 of human NONO produced in E.coli. | |
100 μL | |
Primary | |
Canine, Human, Mouse, Rat | |
Antibody | |
IgG1 |
Immunohistochemistry (Paraffin), Western Blot | |
OTI2C9 | |
Unconjugated | |
NONO | |
MRXS34, NMT55, NRB54, P54, P54NRB, PPP1R114 | |
Mouse | |
Affinity Chromatography | |
RUO | |
317259, 4841, 53610, 612773 | |
-20° C, Avoid Freeze/Thaw Cycles | |
Liquid |
Product Content Correction
The Fisher Scientific Encompass Program offers items which are not part of our distribution portfolio. These products typically do not have pictures or detailed descriptions. However, we are committed to improving your shopping experience. Please use the form below to provide feedback related to the content on this product.
Product Title
Spot an opportunity for improvement?Share a Content Correction