Promotional price valid on web orders only. Your contract pricing may differ. Interested in signing up for a dedicated account number?
Learn More
Learn More
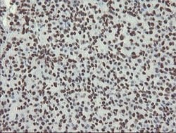
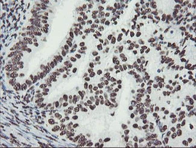
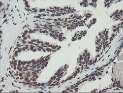
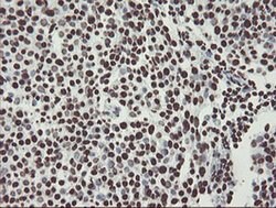
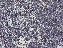
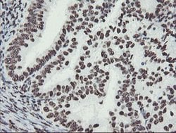
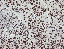
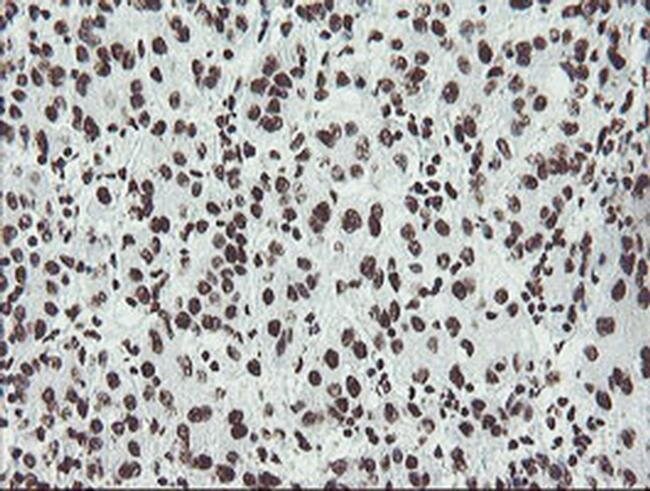
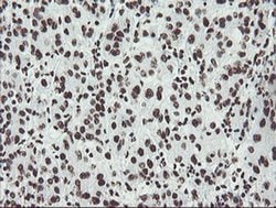
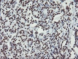
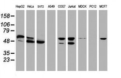
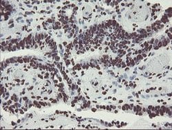
NONO Monoclonal Antibody (OTI5F1), TrueMAB™, OriGene

Mouse Monoclonal Antibody
Supplier: OriGene TA504802S


Description
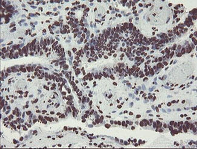
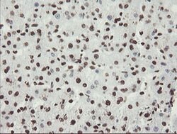
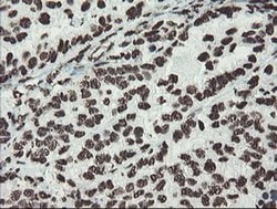
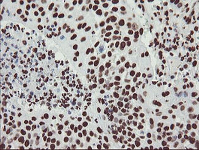
NONO Monoclonal antibody specifically detects NONO in Human, Mouse samples. It is validated for Immunohistochemistry (Paraffin), Western BlotSpecifications
NONO | |
Monoclonal | |
1 mg/mL | |
PBS with 1% BSA, 50% glycerol and 0.02% sodium azide | |
Q18PE0, Q18PE1 | |
Mouse | |
Affinity chromatography | |
RUO | |
231134, 285489 | |
-20° C, Avoid Freeze/Thaw Cycles | |
IgG1 |
Immunohistochemistry (Paraffin), Western Blot | |
OTI5F1 | |
Unconjugated | |
DOK7 | |
54 kDa nuclear RNA- and DNA-binding protein; 55 kDa nuclear protein; AA407051; AV149256; DNA-binding p52/p100 complex, 52 kDa subunit; HGNC:7871; LOC100346936; MRXS34; NMT-1; NMT55; nonA; Nono; NonO protein; non-POU domain containing octamer binding; non-POU domain containing, octamer-binding; non-POU domain-containing octamer (ATGCAAAT) binding protein; non-POU domain-containing octamer-binding protein; non-POU-domain-containing; non-POU-domain-containing, octamer binding protein; non-POU-domain-containing, octamer-binding protein; NRB54; P54; p54(nrb); p54nrb; PPP1R114; protein phosphatase 1, regulatory subunit 114 | |
Full length human recombinant protein of human DOK7 produced in HEK293T cell. | |
30 μL | |
Primary | |
Human, Mouse | |
Liquid |
Product Content Correction
The Fisher Scientific Encompass Program offers items which are not part of our distribution portfolio. These products typically do not have pictures or detailed descriptions. However, we are committed to improving your shopping experience. Please use the form below to provide feedback related to the content on this product.
Product Title
Spot an opportunity for improvement?Share a Content Correction