Learn More
NONO Rabbit anti-Human, Mouse, Rat, Polyclonal, Bethyl Laboratories
Rabbit Polyclonal Antibody
Supplier: Bethyl Laboratories, Inc A300587A

Description
The recommended shelf life for this product is 1 year from date of receipt. Application Note: For IHC, epitope retrieval with citrate buffer pH 6.0 is recommended for FFPE tissue sections. Based on 100% sequence identity, this antibody is predicted to react with Orangutan
This gene encodes an RNA-binding protein which plays various roles in the nucleus, including transcriptional regulation and RNA splicing. A rearrangement between this gene and the transcription factor E3 gene has been observed in papillary renal cell carcinoma. Alternatively spliced transcript variants have been described. Pseudogenes exist on Chromosomes 2 and 16.Specifications
NONO | |
Polyclonal | |
Unconjugated | |
NONO | |
NMT-1 | |
Rabbit | |
Antigen affinity chromatography | |
RUO | |
317259, 4841, 53610 | |
4° C | |
Liquid |
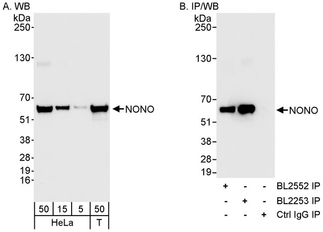
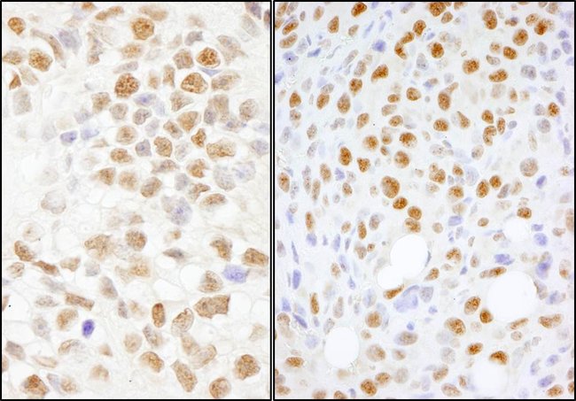
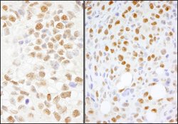
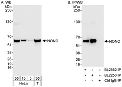
Immunohistochemistry, Immunoprecipitation, Western Blot | |
0.2 mg/ml | |
TBS with 0.1% BSA and 0.09% sodium azide | |
Q15233, Q5FVM4, Q99K48 | |
Nono | |
Between 350 and 400 | |
100 μL | |
Primary | |
Human, Mouse, Rat | |
Antibody | |
IgG |
The Fisher Scientific Encompass Program offers items which are not part of our distribution portfolio. These products typically do not have pictures or detailed descriptions. However, we are committed to improving your shopping experience. Please use the form below to provide feedback related to the content on this product.