Promotional price valid on web orders only. Your contract pricing may differ. Interested in signing up for a dedicated account number?
Learn More
Learn More
Invitrogen™ NOP58 Polyclonal Antibody

Rabbit Polyclonal Antibody
Supplier: Invitrogen™ PA554321
Description
Immunogen sequence: LDKELNNYIM RCREWYGWHF PELGKIISDN LTYCKCLQKV GDRKNYASAK LSELLPEEVE AEVKAAAEIS MGTEVSEEDI CNILHLCTQV IEISEYRTQL YEYLQNRMMA IAPNVTVMVG ELVGARLIAH AGSLL Highest antigen sequence identity to the following orthologs: Mouse - 98%, Rat - 98%.
Nop5p, or Nop58p, is localized in the nucleolus and required for pre-18S rRNA processing in Saccharomyces cerevisiae.
Specifications
NOP58 | |
Polyclonal | |
Unconjugated | |
NOP58 | |
HSPC120; MSSP; Nap65; Nol5; NOP5; NOP5/NOP58; Nop58; NOP58 ribonucleoprotein; NOP58 ribonucleoprotein homolog; Nopp140 associated protein; nopp140-associated protein of 65 kDa; Nucleolar protein 5; nucleolar protein 58; nucleolar protein NOP5/NOP58; nucleolar protein NOP58; O6108; RNA-processing protein NOP58; SIK; SIK similar protein; SIK-similar protein; YOR310C | |
Rabbit | |
Antigen affinity chromatography | |
RUO | |
51602, 55989, 60373 | |
Store at 4°C short term. For long term storage, store at -20°C, avoiding freeze/thaw cycles. | |
Liquid |
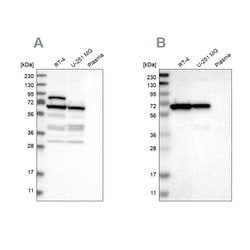
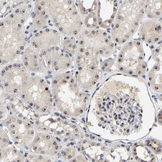
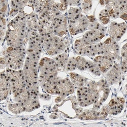
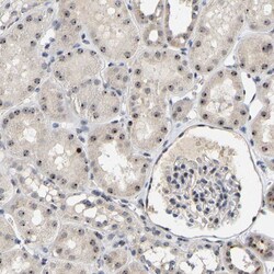
Immunohistochemistry (Paraffin), Western Blot, Immunocytochemistry | |
0.3 mg/mL | |
PBS with 40% glycerol and 0.02% sodium azide; pH 7.2 | |
Q6DFW4, Q9QZ86, Q9Y2X3 | |
NOP58 | |
Recombinant protein corresponding to Human NOP58. Recombinant protein control fragment (Product #RP-91831). | |
100 μL | |
Primary | |
Human, Mouse, Rat | |
Antibody | |
IgG |
Safety and Handling
WARNING: Cancer - www.P65Warnings.ca.gov
Product Content Correction
Your input is important to us. Please complete this form to provide feedback related to the content on this product.
Product Title
Spot an opportunity for improvement?Share a Content Correction