Promotional price valid on web orders only. Your contract pricing may differ. Interested in signing up for a dedicated account number?
Learn More
Learn More
Invitrogen™ NOSIP Polyclonal Antibody
Rabbit Polyclonal Antibody
Supplier: Invitrogen™ PA5121739
This item is not returnable.
View return policy
Description
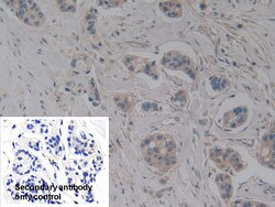
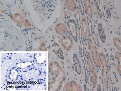
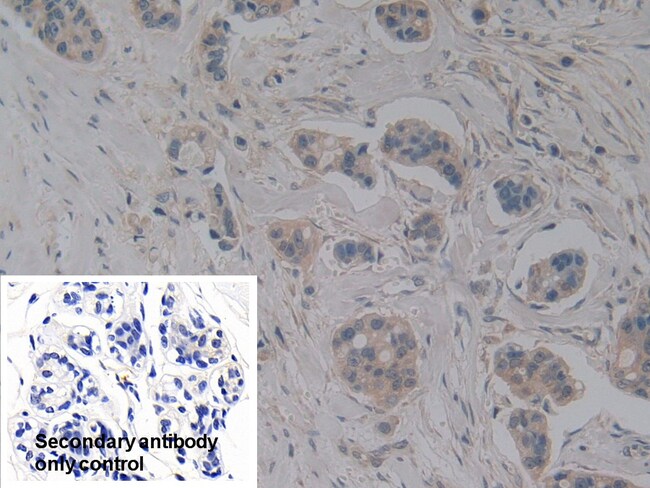
NOSIP Polyclonal Antibody for Western Blot, ICC/IF, IHC (P)
NEDD4L is an E3 ubiquitin-protein ligase which accepts ubiquitin from an E2 ubiquitin-conjugating enzyme in the form of a thioester and then directly transfers the ubiquitin to targeted substrates. NEDD4L inhibits TGF-beta signaling by triggering SMAD2 and TGFR1 ubiquitination and proteasome-dependent degradation. NEDD4L promotes ubiquitination and internalization of various plasma membrane channels such as ENaC, Nav1. 2, Nav1. 3, Nav1. 5, Nav1. 7, Nav1. 8, Kv1. 3, EAAT1 or CLC5. NEDD4L also promotes ubiquitination and degradation of SGK.
Specifications
NOSIP | |
Polyclonal | |
Unconjugated | |
NOSIP | |
2310061K06Rik; CGI-25; E3 ubiquitin-protein ligase NOSIP; eNOS-interacting protein; nitric oxide synthase interacting protein; nitric oxide synthase-interacting protein; Nosip; RING-type E3 ubiquitin transferase NOSIP | |
Rabbit | |
Antigen affinity chromatography, Protein A | |
RUO | |
51070 | |
Store at 4°C short term. For long term storage, store at -20°C, avoiding freeze/thaw cycles. | |
Liquid |
Immunohistochemistry (Paraffin), Western Blot, Immunocytochemistry | |
0.5 mg/mL | |
PBS with 50% glycerol and 0.05% ProClin 300; pH 7.4 | |
Q9Y314 | |
NOSIP | |
Recombinant protein Nitric Oxide Synthase Interacting Protein. The antigen corresponds to amino acid range 62-295 of the target protein. | |
20 μL | |
Primary | |
Human | |
Antibody | |
IgG |
Product Content Correction
Your input is important to us. Please complete this form to provide feedback related to the content on this product.
Product Title
Spot an opportunity for improvement?Share a Content Correction