Promotional price valid on web orders only. Your contract pricing may differ. Interested in signing up for a dedicated account number?
Learn More

Notch 1 Polyclonal Antibody, Abbomax

Catalog No. 502204507
Encompass_Preferred
Change view
Click to view available options
Quantity:
100 μg
1 product options available for selection
Product selection table with 1 available options. Use arrow keys to navigate and Enter or Space to select.
Catalog No. Quantity
50-220-4507 100 μg
Use arrow keys to navigate between rows. Press Enter or Space to select a product option. 1 options available.
1 options
Catalog No. 50-220-4507 Supplier Abbomax Inc Supplier No. 620600
Only null left
Add to Cart
Add to Cart

Rabbit Polyclonal Antibody

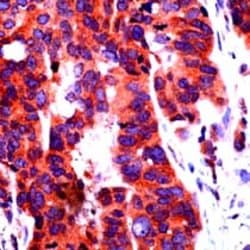
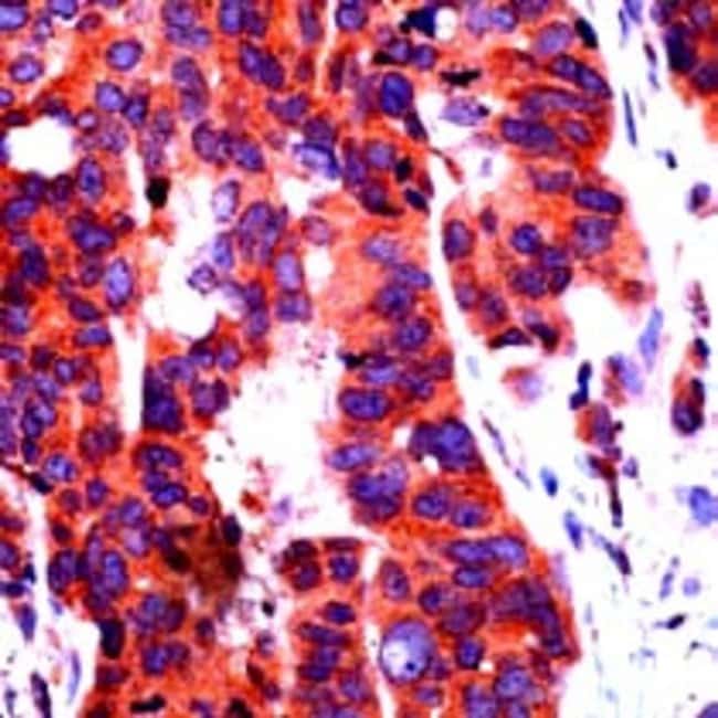
Positive control: Breast carcinoma Cellular location: Cell membrane and cytoplasm.

Notch 1 Polyclonal antibody specifically detects Notch 1 in Human samples. It is validated for Immunohistochemistry (Paraffin), Western Blot

Specifications

Antigen Notch 1
Applications Immunohistochemistry (Paraffin), Western Blot
Classification Polyclonal
Concentration 0.5 mg/mL
Conjugate Unconjugated
Formulation PBS with proprietary stabilizer and 0.01% sodium azide
Gene Notch1
Gene Accession No. P46531
Gene Alias 9930111A19Rik; AOS5; AOVD1; Drosophila Notch homolog 1 (controlling the the ectodermal and neural cell fate in Drosophila); hN1; lin-12; major type A protein; Mis6; Motch; Motch A; mT14; N1; neurogenic locus notch homolog protein 1; NEXT; NICD; NOTCH; notch 1; Notch 1 extracellular truncation; Notch 1 intracellular domain; Notch gene homolog 1; Notch homolog 1, translocation-associated; notch receptor 1; Notch1; p300; RP23-306D20.12; RP23-306D20.12-001; Tan1; Translocation-associated notch protein TAN-1; transmembrane receptor Notch1
Host Species Rabbit
Immunogen A synthetic peptide derived from C-terminus of human Notch 1
Purification Method Antigen affinity chromatography
Quantity 100 μg
Regulatory Status RUO
Primary or Secondary Primary
Gene ID (Entrez) 4851
Target Species Human
Content And Storage Store at 4°C short term. For long term storage, store at -20°C, avoiding freeze/thaw cycles.
Product Type Antibody
Form Liquid
Isotype IgG
Show More Show Less
Product Title
Select an issue

By clicking Submit, you acknowledge that you may be contacted by Fisher Scientific in regards to the feedback you have provided in this form. We will not share your information for any other purposes. All contact information provided shall also be maintained in accordance with our Privacy Policy.