Promotional price valid on web orders only. Your contract pricing may differ. Interested in signing up for a dedicated account number?
Learn More
Learn More
Invitrogen™ NOTCH3 Polyclonal Antibody

Goat Polyclonal Antibody
Supplier: Invitrogen™ PA5142191
This item is not returnable.
View return policy
Description
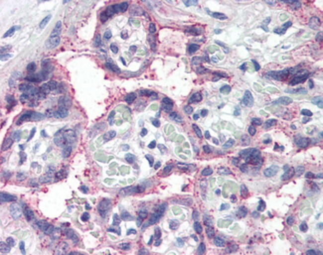
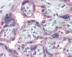
This antibody is tested in Peptide ELISA: antibody detection limit dilution 1:16,000.
NOTCH3 is the third discovered human homologue of the Drosophilia melanogaster type I membrane protein notch. In Drosophilia, notch interaction (with its cell-bound ligands delta, serrate) establishes an intercellular signalling pathway that plays a key role in neural development. Homologues of the notch-ligands have also been identified in human. NOTCH3 functions as a receptor for membrane-bound ligands Jagged1, Jagged2, and Delta1 to regulate cell-fate determination. Mutations in NOTCH3 have been identified as the underlying cause of cerebral autosomal dominant arteriopathy with subcortical infarcts and leukoencephalopathy (CADASIL).
Specifications
NOTCH3 | |
Polyclonal | |
Unconjugated | |
Notch3 | |
AW229011; CADASIL; CADASIL1; CASIL; hpbk; IMF2; LMNS; N3; Neurogenic locus notch homolog protein 3; notch 3; Notch 3 extracellular truncation; Notch 3 intracellular domain; Notch gene homolog 3; Notch homolog 3; NOTCH3 | |
Goat | |
Ammonium sulfate precipitation | |
RUO | |
4854 | |
-20°C, Avoid Freeze/Thaw Cycles | |
Liquid |
Flow Cytometry, Immunohistochemistry (Paraffin) | |
0.5 mg/mL | |
TBS with 0.5% BSA and 0.02% sodium azide; pH 7.3 | |
Q9UM47 | |
Notch3 | |
Peptide with sequence C-QLGPQPEVTPKRQ. | |
100 μg | |
Primary | |
Human | |
Antibody | |
IgG |
Product Content Correction
Your input is important to us. Please complete this form to provide feedback related to the content on this product.
Product Title
Spot an opportunity for improvement?Share a Content Correction