Promotional price valid on web orders only. Your contract pricing may differ. Interested in signing up for a dedicated account number?
Learn More

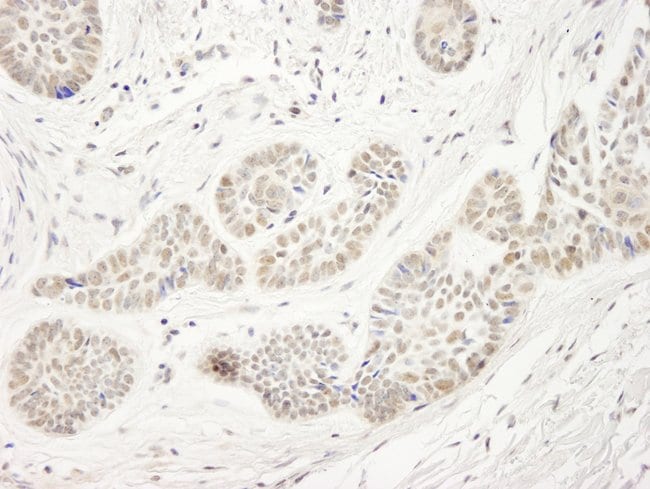
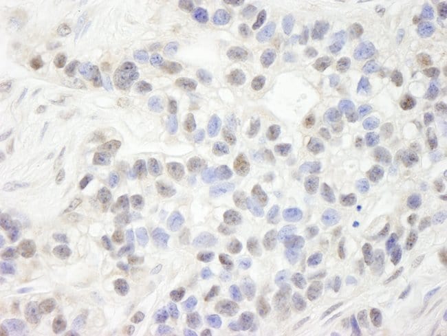
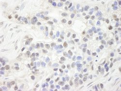
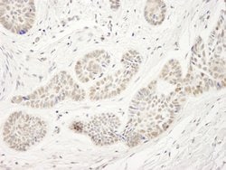
NP95/UHRF1 Polyclonal Antibody, Bethyl Laboratories

Catalog No. 501572299
Encompass_Preferred
Change view
Click to view available options
Quantity:
10 μL
100 μL
2 product options available for selection
Product selection table with 2 available options. Use arrow keys to navigate and Enter or Space to select.
Catalog No. Quantity
50-157-2299 100 μL
50-157-2300 10 μL
Use arrow keys to navigate between rows. Press Enter or Space to select a product option. 2 options available.
2 options
Catalog No. 50-157-2299 Supplier Bethyl Laboratories, Inc Supplier No. IHC00554
Only null left
Add to Cart
Add to Cart

Rabbit Polyclonal Antibody

The recommended shelf life for this product is 1 year from date of receipt. Based on 100% sequence identity, this antibody is predicted to react with Orangutan, Monkey, Gorilla, Chimpanzee, Northern white-cheeked gibbon, Crab-eating macaque and Wh

This gene encodes a member of a subfamily of RING-finger type E3 ubiquitin ligases. The protein binds to specific DNA sequences, and recruits a histone deacetylase to regulate gene expression. Its expression peaks at late G1 phase and continues during G2 and M phases of the cell cycle. It plays a major role in the G1/S transition by regulating topoisomerase IIalpha and retinoblastoma gene expression, and functions in the p53-dependent DNA damage checkpoint. Multiple transcript variants encoding different isoforms have been found for this gene.

Specifications

Antigen NP95/UHRF1
Applications Immunohistochemistry
Classification Polyclonal
Conjugate Unconjugated
Formulation TBS with 0.1% BSA and 0.09% sodium azide
Gene UHRF1
Gene Accession No. Q96T88
Gene Alias ICBP90, Np95, RNF106, hNP95, E3 ubiquitin-protein ligase UHRF1, RING finger protein 106, huNp95, inverted CCAAT box-binding protein of 90 kDa, nuclear protein 95, nuclear zinc finger protein Np95, transcription factor ICBP90, ubiquitin-like PHD and RING finger domain-containing protein 1, ub
Gene Symbols UHRF1
Host Species Rabbit
Immunogen Between 275 and 325
Purification Method Antigen affinity chromatography
Quantity 100 μL
Regulatory Status RUO
Primary or Secondary Primary
Gene ID (Entrez) 29128
Target Species Human
Content And Storage 4° C
Product Type Antibody
Form Liquid
Isotype IgG
Show More Show Less
Product Title
Select an issue

By clicking Submit, you acknowledge that you may be contacted by Fisher Scientific in regards to the feedback you have provided in this form. We will not share your information for any other purposes. All contact information provided shall also be maintained in accordance with our Privacy Policy.