Promotional price valid on web orders only. Your contract pricing may differ. Interested in signing up for a dedicated account number?
Learn More
Learn More
Invitrogen™ NR0B2 Polyclonal Antibody

Rabbit Polyclonal Antibody
Supplier: Invitrogen™ PA522311
Description
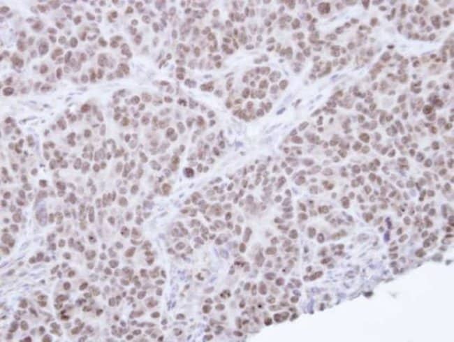
Recommended positive controls: 293T transfected with NR0B2. Predicted reactivity: Mouse (80%). Store product as a concentrated solution. Centrifuge briefly prior to opening the vial.
The protein encoded by this gene is an unusual orphan receptor that contains a putative ligand-binding domain but lacks a conventional DNA-binding domain. The gene product is a member of the nuclear hormone receptor family, a group of transcription factors regulated by small hydrophobic hormones, a subset of which do not have known ligands and are referred to as orphan nuclear receptors. The protein has been shown to interact with retinoid and thyroid hormone receptors, inhibiting their ligand-dependent transcriptional activation. In addition, interaction with estrogen receptors has been demonstrated, leading to inhibition of function. Studies suggest that the protein represses nuclear hormone receptor-mediated transactivation via two separate steps: competition with coactivators and the direct effects of its transcriptional repressor function.
Specifications
| NR0B2 | |
| Polyclonal | |
| Unconjugated | |
| NR0B2 | |
| Nr0b2; Nr0b2a; nuclear receptor SHP; nuclear receptor subfamily 0 group B member 2; nuclear receptor subfamily 0, group B, member 2; orphan nuclear receptor SHP; SHP; SHP1; SHP-1; small heterodimer partner; small heterodimer partner homologue | |
| Rabbit | |
| Antigen affinity chromatography | |
| RUO | |
| 8431 | |
| Store at 4°C short term. For long term storage, store at -20°C, avoiding freeze/thaw cycles. | |
| Liquid |
| Immunohistochemistry (Paraffin), Western Blot, Immunocytochemistry | |
| 0.89 mg/mL | |
| PBS with 1% BSA, 20% glycerol and 0.01% thimerosal; pH 7 | |
| Q15466 | |
| NR0B2 | |
| Recombinant protein encompassing a sequence within the center region of human NR0B2. The exact sequence is proprietary. | |
| 100 μL | |
| Primary | |
| Human | |
| Antibody | |
| IgG |
Safety and Handling
WARNING: Cancer - www.P65Warnings.ca.gov
Product Content Correction
Your input is important to us. Please complete this form to provide feedback related to the content on this product.
Product Title
Spot an opportunity for improvement?Share a Content Correction