Promotional price valid on web orders only. Your contract pricing may differ. Interested in signing up for a dedicated account number?
Learn More
Learn More
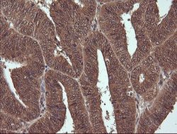
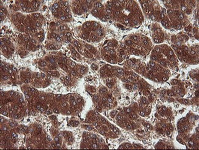
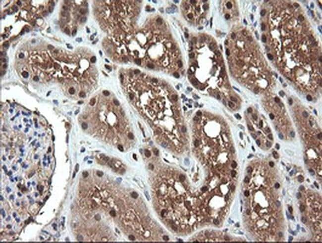
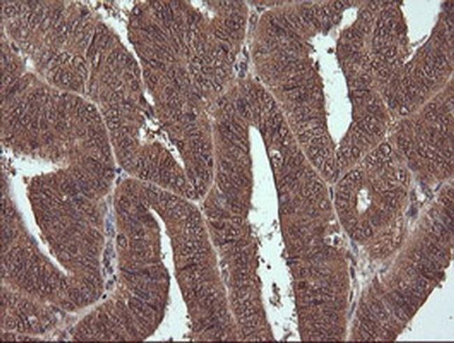
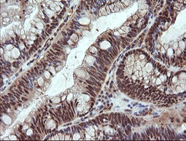
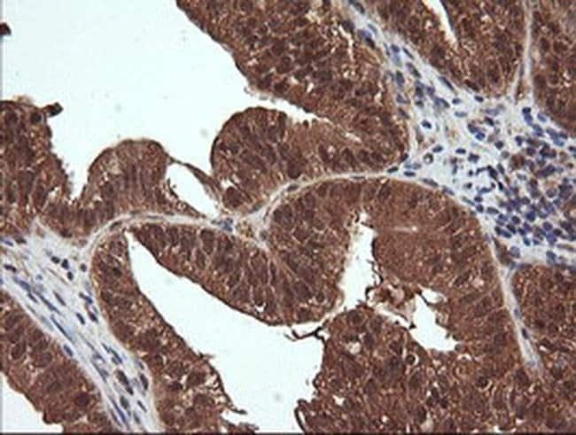
Invitrogen™ NR1 Monoclonal Antibody (OTI1E3)

Mouse Monoclonal Antibody
Supplier: Invitrogen™ MA526141
Description
NR1 Monoclonal Antibody for Western Blot, ICC/IF, IHC (P)
This gene encodes an NADPH-dependent diflavin reductase that contains both flavin mononucleotide (FMN) and flavin adenine dinucleotide (FAD) binding domains. The encoded protein is an enzyme that catalyzes the transfers electrons from NADPH through FAD and FMN cofactors to potential redox partners. Alternative splicing results in multiple transcript variants.
Specifications
| NR1 | |
| Monoclonal | |
| 1 mg/mL | |
| PBS with 1% BSA, 50% glycerol and 0.02% sodium azide; pH 7.3 | |
| A2AI05, Q9UHB4 | |
| NDOR1 | |
| Full length human recombinant protein of NDOR1 produced in HEK293T cell. | |
| 100 μL | |
| Primary | |
| Human, Mouse, Canine | |
| Antibody | |
| IgG2a |
| Immunohistochemistry (Paraffin), Western Blot, Immunocytochemistry | |
| OTI1E3 | |
| Unconjugated | |
| NDOR1 | |
| 4930447P04Rik; bA350O14.9; NADPH dependent diflavin oxidoreductase 1; NADPH-dependent diflavin oxidoreductase 1; NADPH-dependent FMN and FAD-containing oxidoreductase; Ndor; NDOR1; Novel reductase 1; NR1 | |
| Mouse | |
| Affinity Chromatography | |
| RUO | |
| 27158, 491234, 78797 | |
| -20°C, Avoid Freeze/Thaw Cycles | |
| Liquid |
Product Content Correction
Your input is important to us. Please complete this form to provide feedback related to the content on this product.
Product Title
Spot an opportunity for improvement?Share a Content Correction