Promotional price valid on web orders only. Your contract pricing may differ. Interested in signing up for a dedicated account number?
Learn More
Learn More
NR2C2 Monoclonal Antibody (OTI1B1), TrueMAB™, OriGene

Mouse Monoclonal Antibody
Supplier: OriGene TA807247
Description
Members of the nuclear hormone receptor family, such as NR2C2, act as ligand-activated transcription factors. The proteins have an N-terminal transactivation domain, a central DNA-binding domain with 2 zinc fingers, and a ligand-binding domain at the C terminus. The activated receptor/ligand complex is translocated to the nucleus where it binds to hormone response elements of target genes.Specifications
| NR2C2 | |
| Monoclonal | |
| 1 mg/mL | |
| PBS with 1% BSA, 50% glycerol and 0.02% sodium azide | |
| P49116 | |
| NR2C2 | |
| Human recombit protein fragment corresponding to amino acids 1-241 of human NR2C2 produced in E.coli. | |
| 100 μL | |
| Primary | |
| Human | |
| Antibody | |
| IgG1 |
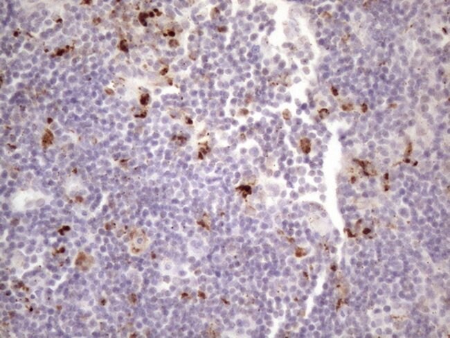
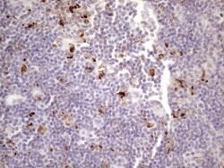
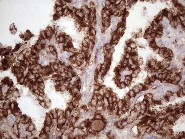
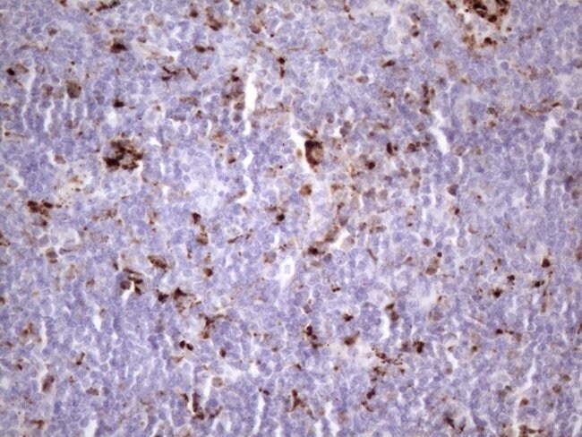
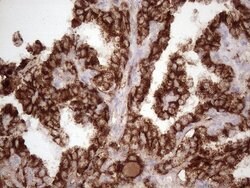
| Immunohistochemistry (Paraffin), Western Blot | |
| OTI1B1 | |
| Unconjugated | |
| NR2C2 | |
| TAK1, TR4 | |
| Mouse | |
| Affinity Chromatography | |
| RUO | |
| 7182 | |
| -20° C, Avoid Freeze/Thaw Cycles | |
| Liquid |
Product Content Correction
The Fisher Scientific Encompass Program offers items which are not part of our distribution portfolio. These products typically do not have pictures or detailed descriptions. However, we are committed to improving your shopping experience. Please use the form below to provide feedback related to the content on this product.
Product Title
Spot an opportunity for improvement?Share a Content Correction