Promotional price valid on web orders only. Your contract pricing may differ. Interested in signing up for a dedicated account number?
Learn More
Learn More
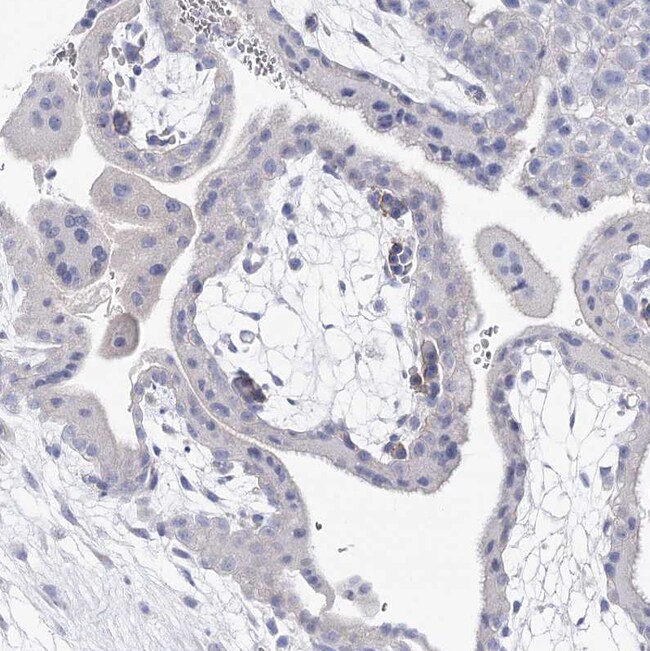
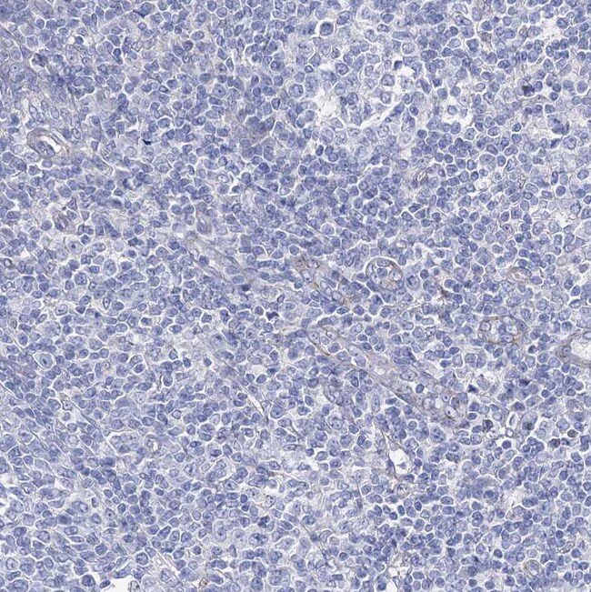
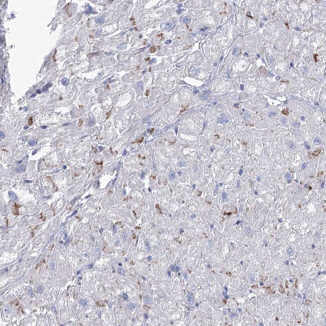
Invitrogen™ NRAP Polyclonal Antibody

Rabbit Polyclonal Antibody
Supplier: Invitrogen™ PA558183
Description
Immunogen sequence: RHDFVKERGK LIGPQSVRDD PRIQHCRRMG QLQSELQYRR GATSSQAQFH LPMDMVHLVH AKNAQALASD HDYRTQYHKF TALPE Highest antigen sequence identity to the following orthologs: Mouse - 76%, Rat - 78%.
May be involved in anchoring the terminal actin filaments in the myofibril to the membrane and in transmitting tension from the myofibrils to the extracellular matrix.
Specifications
NRAP | |
Polyclonal | |
Unconjugated | |
NRAP | |
nebulin related anchoring protein; nebulin-related anchoring protein; nebulin-related-anchoring protein; NRAP; N-RAP | |
Rabbit | |
Antigen affinity chromatography | |
RUO | |
4892 | |
Store at 4°C short term. For long term storage, store at -20°C, avoiding freeze/thaw cycles. | |
Liquid |
Immunohistochemistry (Paraffin) | |
0.3 mg/mL | |
PBS with 40% glycerol and 0.02% sodium azide; pH 7.2 | |
Q86VF7 | |
NRAP | |
Recombinant protein corresponding to Human NRAP. Recombinant protein control fragment (Product #RP-97203). | |
100 μL | |
Primary | |
Human | |
Antibody | |
IgG |
Product Content Correction
Your input is important to us. Please complete this form to provide feedback related to the content on this product.
Product Title
Spot an opportunity for improvement?Share a Content Correction