Promotional price valid on web orders only. Your contract pricing may differ. Interested in signing up for a dedicated account number?
Learn More
Learn More
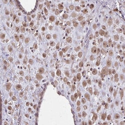
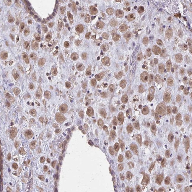
NRBF2 Polyclonal Antibody

NRBF2 Polyclonal Antibody
Supplier: Thermo Scientific PA554494
Description
NRBF2 Polyclonal Antibody for IHC

Specifications
NRBF2 | |
Polyclonal | |
Unconjugated | |
Nrbf2 | |
Comodulator of PPAR and RXR; comodulator of PPAR and RXR 1; comodulator of PPAR and RXR 2; COPR; COPR1; COPR2; Nrbf2; NRBF-2; nuclear receptor binding factor 2; nuclear receptor binding factor-2; nuclear receptor-binding factor 2 | |
Rabbit | |
Antigen Affinity Chromatography | |
RUO | |
29982 | |
Store at 4°C short term. For long term storage, store at -20°C, avoiding freeze/thaw cycles. | |
Liquid |
Immunohistochemistry (Paraffin) | |
0.7 mg/mL | |
PBS with 40% glycerol and 0.02% sodium azide; pH 7.2 | |
Q96F24 | |
Nrbf2 | |
Recombinant protein corresponding to Human NRBF2. Recombinant protein control fragment (Product #RP-102335). | |
100 μL | |
Primary | |
Human | |
Antibody | |
IgG |
Product Content Correction
Your input is important to us. Please complete this form to provide feedback related to the content on this product.
Product Title
Spot an opportunity for improvement?Share a Content Correction