Promotional price valid on web orders only. Your contract pricing may differ. Interested in signing up for a dedicated account number?
Learn More
Learn More
NT5DC1 Monoclonal Antibody (OTI2B12), TrueMAB™, OriGene

Mouse Monoclonal Antibody
Supplier: OriGene TA501587S
Description
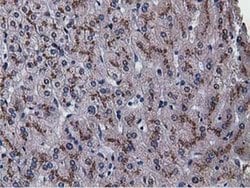
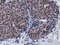
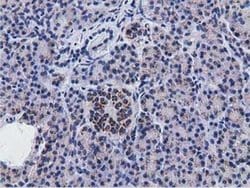
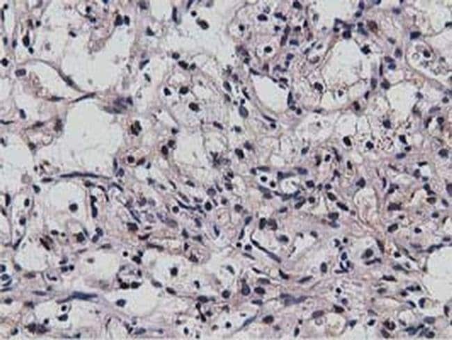
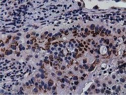
NT5DC1 Monoclonal antibody specifically detects NT5DC1 in Canine, Human samples. It is validated for Flow Cytometry, Immunocytochemistry, Immunohistochemistry (Paraffin), Western BlotSpecifications
| NT5DC1 | |
| Monoclonal | |
| 0.8 mg/mL | |
| PBS with 1% BSA, 50% glycerol and 0.02% sodium azide | |
| Q5TFE4 | |
| Mouse | |
| Affinity chromatography | |
| RUO | |
| 221294, 475036 | |
| -20° C, Avoid Freeze/Thaw Cycles | |
| IgG1 |
| Flow Cytometry, Immunocytochemistry, Immunohistochemistry (Paraffin), Western Blot | |
| OTI2B12 | |
| Unconjugated | |
| NT5DC1 | |
| 5'-nucleotidase domain containing 1; 5'-nucleotidase domain-containing protein 1; 5'-nucleotidase, cytosolic II-like 1; 5'-nucleotidase, cytosolic II-like 1 protein; C6orf200; LP2642; Nt5c2l1; NT5DC1 | |
| Full length human recombinant protein of human NT5DC1 produced in HEK293T cell. | |
| 30 μL | |
| Primary | |
| Canine, Human | |
| Liquid |
Product Content Correction
The Fisher Scientific Encompass Program offers items which are not part of our distribution portfolio. These products typically do not have pictures or detailed descriptions. However, we are committed to improving your shopping experience. Please use the form below to provide feedback related to the content on this product.
Product Title
Spot an opportunity for improvement?Share a Content Correction