Promotional price valid on web orders only. Your contract pricing may differ. Interested in signing up for a dedicated account number?
Learn More

Invitrogen™ NTE Polyclonal Antibody

Catalog No. PIPA535939
Change view
Click to view available options
Quantity:
100 μL
1 product options available for selection
Product selection table with 1 available options. Use arrow keys to navigate and Enter or Space to select.
Catalog No. Quantity
PIPA535939 100 μL
Use arrow keys to navigate between rows. Press Enter or Space to select a product option. 1 options available.
1 options
Catalog No. PIPA535939 Supplier Invitrogen™ Supplier No. PA535939
Only null left
Add to Cart
Add to Cart

Rabbit Polyclonal Antibody

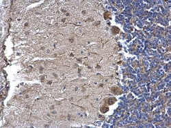
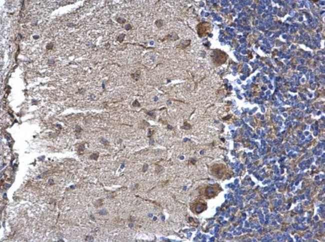
Recommended positive controls: U87-MG, SK-N-SH, IMR-32, SK-N-AS, rat brain. Predicted reactivity: Mouse (99%), Chicken (94%), Bovine (98%). Store product as a concentrated solution. Centrifuge briefly prior to opening the vial.

This gene encodes a phospholipase that deacetylates intracellular phosphatidylcholine to produce glycerophosphocholine. It is thought to function in neurite outgrowth and process elongation during neuronal differentiation. The protein is anchored to the cytoplasmic face of the endoplasmic reticulum in both neurons and non-neuronal cells. Mutations in this gene result in autosomal recessive spastic paraplegia, and the protein is the target for neurodegeneration induced by organophosphorus compounds and chemical warfare agents. Multiple transcript variants encoding different isoforms have been found for this gene.
TRUSTED_SUSTAINABILITY

Specifications

Antigen NTE
Applications Immunohistochemistry (Paraffin), Western Blot
Classification Polyclonal
Concentration 0.4 mg/mL
Conjugate Unconjugated
Formulation PBS with 1% BSA, 20% glycerol and 0.025% ProClin 300; pH 7
Gene pnpla6
Gene Accession No. Q3TRM4, Q8IY17
Gene Alias 5'-NT; 5'-nucleotidase; 5'-nucleotidase ecto; 5'-nucleotidase, ecto (CD73); AI661849; BNHS; CALJA; CD73; E5NT; ecto-5'-nucleotidase; eN; eNT; iPLA2delta; LNMS; MSws; Neuropathy target esterase; NT; NT5; NT5E; NTE; NTEMND; OMCS; patatin like phospholipase domain containing 6; patatin-like phospholipase domain containing 6; patatin-like phospholipase domain-containing protein 6; PNPLA6; Purine 5-Prime-Nucleotidase; RGD1564611; SPG39; Swiss cheese; Swiss-cheese; sws; wu:fy20f06
Gene Symbols pnpla6
Host Species Rabbit
Immunogen Recombinant protein encompassing a sequence within the C-terminus region of human NTE. The exact sequence is proprietary.
Purification Method Antigen affinity chromatography
Quantity 100 μL
Regulatory Status RUO
Primary or Secondary Primary
Gene ID (Entrez) 10908, 360753, 50767
Target Species Human, Mouse, Rat
Content And Storage Store at 4°C short term. For long term storage, store at -20°C, avoiding freeze/thaw cycles.
Product Type Antibody
Form Liquid
Isotype IgG
Show More Show Less
Product Title
Select an issue

By clicking Submit, you acknowledge that you may be contacted by Fisher Scientific in regards to the feedback you have provided in this form. We will not share your information for any other purposes. All contact information provided shall also be maintained in accordance with our Privacy Policy.