Promotional price valid on web orders only. Your contract pricing may differ. Interested in signing up for a dedicated account number?
Learn More
Learn More
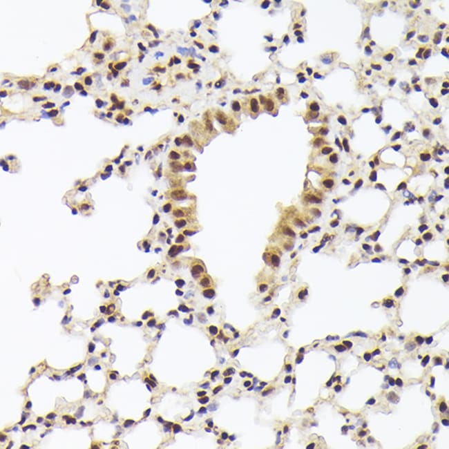
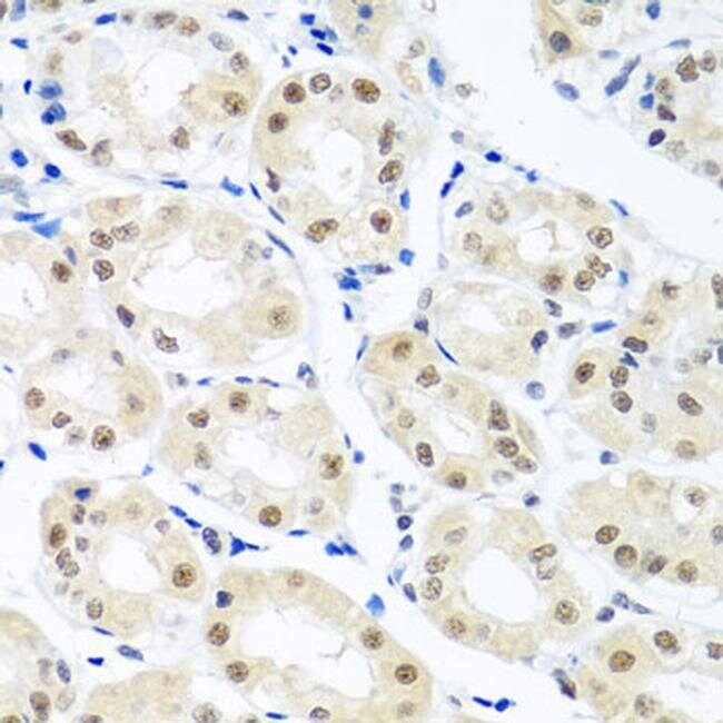
Invitrogen™ Nuclear Matrix Protein p84 Polyclonal Antibody

Rabbit Polyclonal Antibody
Supplier: Invitrogen™ PA587053
Description
Purity is > 95% by SDS-PAGE.
HPR1 is part of the TREX (transcription/export) complex, which includes TEX1 (MIM 606929), THO2 (MIM 300395), ALY (MIM 604171), and UAP56 (MIM 142560).
Specifications
Nuclear Matrix Protein p84 | |
Polyclonal | |
Unconjugated | |
Thoc1 | |
3110002N20Rik; AW107452; HPR1; hTREX84; I79_014746; LRRGT00070; NMP-84; Nuclear matrix protein p84; P84; P84N5; THO complex 1; THO complex subunit 1; THO complex subunit 1-like protein; tho1; Thoc1 | |
Rabbit | |
Antigen affinity chromatography | |
RUO | |
225160, 291797, 9984 | |
Store at 4°C short term. For long term storage, store at -20°C, avoiding freeze/thaw cycles. | |
Liquid |
Immunohistochemistry (Paraffin), Western Blot, Immunocytochemistry | |
1 mg/mL | |
PBS with 50% glycerol and 0.02% sodium azide; pH 7.2 | |
P59924, Q8R3N6, Q96FV9 | |
Thoc1 | |
Recombinant fusion protein of human Nuclear Matrix Protein p84 (THOC1). | |
100 μL | |
Primary | |
Human, Mouse, Rat | |
Antibody | |
IgG |
Product Content Correction
Your input is important to us. Please complete this form to provide feedback related to the content on this product.
Product Title
Spot an opportunity for improvement?Share a Content Correction