Learn More
Invitrogen™ Nuclear Matrix Protein p84 Polyclonal Antibody

Rabbit Polyclonal Antibody
Supplier: Invitrogen™ PA596965
Description
Immunogen sequence: TKKILMGNEE LTRLWNLCPD NMEACKSETR EHMPTLEEFF EEAIEQADPE NMVENEYKAV NNSNYGWRAL RLLARRSPHF FQPTNQQFKS LPEYLENMVI KLAKELPPPS EEIKTGEDED EEDNDALLKE NESPDVRRDK PVTGEQIEVF ANKLGEQWKI LAPYLEMKDS EIRQIECDSE DMKMRAKQLL VAWQDQEGVH ATPENLINAL NKSGLSDLAE SLTNDNETNS; Positive Samples: BT-474, MCF7, A-549, HeLa, HepG2; Cellular Location: Cytoplasm, Cytoplasm, Nucleus, Nucleus matrix, Nucleus speckle, nucleoplasm.
HPR1 is part of the TREX (transcription/export) complex, which includes TEX1 (MIM 606929), THO2 (MIM 300395), ALY (MIM 604171), and UAP56 (MIM 142560).
Specifications
Nuclear Matrix Protein p84 | |
Polyclonal | |
Unconjugated | |
Thoc1 | |
3110002N20Rik; AW107452; HPR1; hTREX84; I79_014746; LRRGT00070; NMP-84; Nuclear matrix protein p84; P84; P84N5; THO complex 1; THO complex subunit 1; THO complex subunit 1-like protein; tho1; Thoc1 | |
Rabbit | |
Affinity chromatography | |
RUO | |
225160, 291797, 9984 | |
-20°C, Avoid Freeze/Thaw Cycles | |
Liquid |
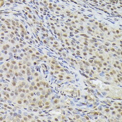
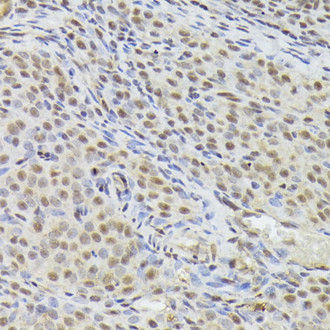
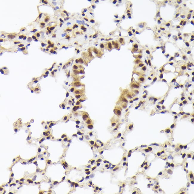
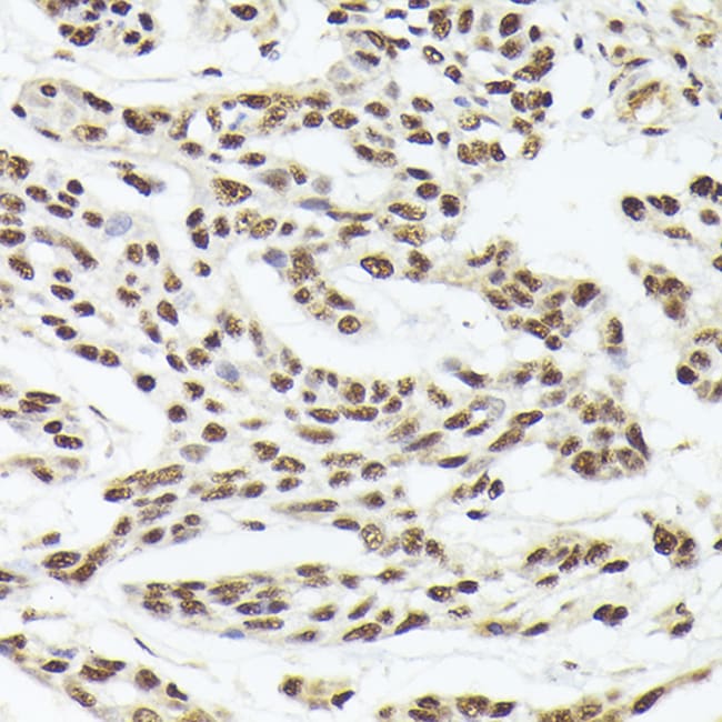
ELISA, Immunohistochemistry (Paraffin), Western Blot, Immunocytochemistry | |
0.97 mg/mL | |
PBS with 50% glycerol and 0.05% ProClin 300; pH 7.3 | |
P59924, Q8R3N6, Q96FV9 | |
Thoc1 | |
Recombinant fusion protein containing a sequence corresponding to amino acids 428-657 of human Nuclear Matrix Protein p84 (Nuclear Matrix Protein p84 (THOC1)) (NP_0051222). | |
100 μL | |
Primary | |
Human, Mouse, Rat | |
Antibody | |
IgG |
Your input is important to us. Please complete this form to provide feedback related to the content on this product.