Promotional price valid on web orders only. Your contract pricing may differ. Interested in signing up for a dedicated account number?
Learn More
Learn More
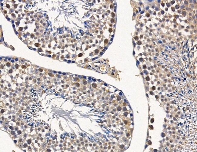
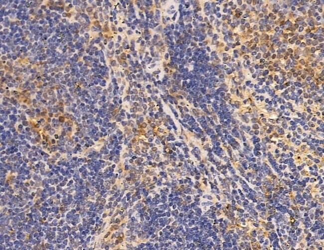
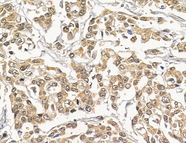
Invitrogen™ NUP205 Polyclonal Antibody

Rabbit Polyclonal Antibody
Supplier: Invitrogen™ PA5103979
Description
Antibody detects endogenous levels of total NUP205.
This gene encodes a nucleoporin, which is a subunit of the nuclear pore complex that functions in active transport of proteins, RNAs and ribonucleoprotein particles between the nucleus and cytoplasm. Mutations in this gene are associated with steroid-resistant nephrotic syndrome.
Specifications
NUP205 | |
Polyclonal | |
Unconjugated | |
NUP205 | |
205 kDa nucleoporin; 3830404O05Rik; AV248391; C7orf14; KIAA0225; mKIAA0225; NPHS13; Nuclear pore complex protein Nup205; nucleoporin 205; nucleoporin 205kDa; nucleoporin Nup205; NUP205 | |
Rabbit | |
Affinity chromatography | |
RUO | |
23165, 362335, 70699 | |
-20°C | |
Liquid |
Immunohistochemistry (Paraffin), Western Blot | |
1 mg/mL | |
PBS with 50% glycerol and 0.02% sodium azide; pH 7.4 | |
Q92621 | |
NUP205 | |
A synthesized peptide derived from human NUP205(Accession Q92621), corresponding to amino acid residues L1129-R1179. | |
100 μL | |
Primary | |
Human, Mouse, Rat | |
Antibody | |
IgG |
Safety and Handling
WARNING: Cancer - www.P65Warnings.ca.gov
Product Content Correction
Your input is important to us. Please complete this form to provide feedback related to the content on this product.
Product Title
Spot an opportunity for improvement?Share a Content Correction