Promotional price valid on web orders only. Your contract pricing may differ. Interested in signing up for a dedicated account number?
Learn More
Learn More
Invitrogen™ NUP54 Polyclonal Antibody

Rabbit Polyclonal Antibody
Supplier: Invitrogen™ PA557466
Description
Immunogen sequence: PATTLYAHFE QANIKTQLQQ LGVTLSMTRT ELSPAQIKQL LQNPPAGVDP IIWEQAKVDN PDSEKLIPVP MVGFKELLRR LKVQDQMTKQ HQTR Highest antigen sequence identity to the following orthologs: Mouse - 99%, Rat - 100%.
The nuclear envelope creates distinct nuclear and cytoplasmic compartments in eukaryotic cells. It consists of two concentric membranes perforated by nuclear pores, large protein complexes that form aqueous channels to regulate the flow of macromolecules between the nucleus and the cytoplasm. These complexes are composed of at least 100 different polypeptide subunits, many of which belong to the nucleoporin family. This gene encodes a member of the phe-gly repeat-containing nucleoporin subset.
Specifications
NUP54 | |
Polyclonal | |
Unconjugated | |
NUP54 | |
3110079L04Rik; 54 kDa nucleoporin; 54kDa; Nuclear pore complex protein Nup54; nucleoporin 54; nucleoporin 54kD; nucleoporin 54kDa; nucleoporin Nup54; Nucleoporin p54; NUP54 | |
Rabbit | |
Antigen affinity chromatography | |
RUO | |
269113, 53371, 53372 | |
Store at 4°C short term. For long term storage, store at -20°C, avoiding freeze/thaw cycles. | |
Liquid |
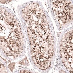
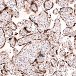
Immunohistochemistry (Paraffin), Western Blot | |
0.10 mg/mL | |
PBS with 40% glycerol and 0.02% sodium azide; pH 7.2 | |
P70582, Q7Z3B4, Q8BTS4 | |
NUP54 | |
Recombinant protein corresponding to Human NUP54. Recombinant protein control fragment (Product #RP-96664). | |
100 μL | |
Primary | |
Human, Mouse, Rat | |
Antibody | |
IgG |
Safety and Handling
WARNING: Cancer - www.P65Warnings.ca.gov
Product Content Correction
Your input is important to us. Please complete this form to provide feedback related to the content on this product.
Product Title
Spot an opportunity for improvement?Share a Content Correction