Promotional price valid on web orders only. Your contract pricing may differ. Interested in signing up for a dedicated account number?
Learn More
Learn More
Invitrogen™ NVL Polyclonal Antibody

Rabbit Polyclonal Antibody
Supplier: Invitrogen™ PA555801
Description
Immunogen sequence: VNRVLMKLQE QQKKNPEMED LPSKGVQEER LGTEPTSETQ DELQRLLGLL RDQDPLSEEQ MQGLCIELND FIVALSSVQP SAKREGFVTV PN Highest antigen sequence identity to the following orthologs: Mouse - 89%, Rat - 79%.
Gasdermin D is a member of the gasdermin family. Members of this family appear to play a role in regulation of epithelial proliferation. Gasdermin D has been suggested to act as a tumor suppressor. Alternatively spliced transcript variants have been described.
Specifications
| NVL | |
| Polyclonal | |
| Unconjugated | |
| NVL | |
| 1200009I24Rik; Nuclear valosin-containing protein-like; nuclear VCP-like; nuclear VCP-like protein; Nvl; NVL2; NVLp | |
| Rabbit | |
| Antigen Affinity Chromatography | |
| RUO | |
| 4931 | |
| Store at 4°C short term. For long term storage, store at -20°C, avoiding freeze/thaw cycles. | |
| Liquid |
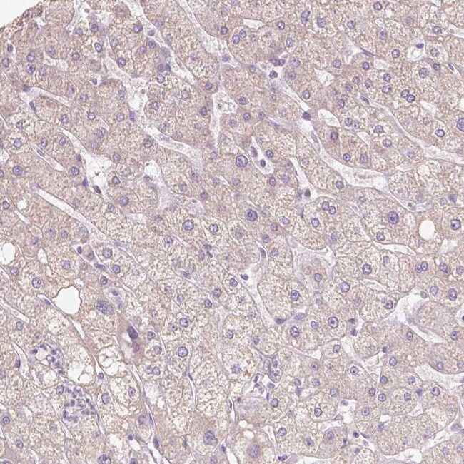
| Immunohistochemistry (Paraffin), Immunocytochemistry | |
| 0.05 mg/mL | |
| PBS with 40% glycerol and 0.02% sodium azide; pH 7.2 | |
| O15381 | |
| NVL | |
| Recombinant protein corresponding to Human NVL. Recombinant protein control fragment (Product #RP-102547). | |
| 100 μL | |
| Primary | |
| Human | |
| Antibody | |
| IgG |
Product Content Correction
Your input is important to us. Please complete this form to provide feedback related to the content on this product.
Product Title
Spot an opportunity for improvement?Share a Content Correction