Promotional price valid on web orders only. Your contract pricing may differ. Interested in signing up for a dedicated account number?
Learn More
Learn More
Invitrogen™ OAS3 Polyclonal Antibody

Rabbit Polyclonal Antibody
Supplier: Invitrogen™ PA559494
Description
Immunogen sequence: LKGGCDSELV IFLDCFKSYV DQRARRAEIL SEMRASLESW WQNPVPGLRL TFPEQSVPGA LQFRLTSVDL EDWMDVSLVP AFNVLGQAGS GVKPKPQV Highest antigen sequence identity to the following orthologs: Mouse - 58%, Rat - 58%.
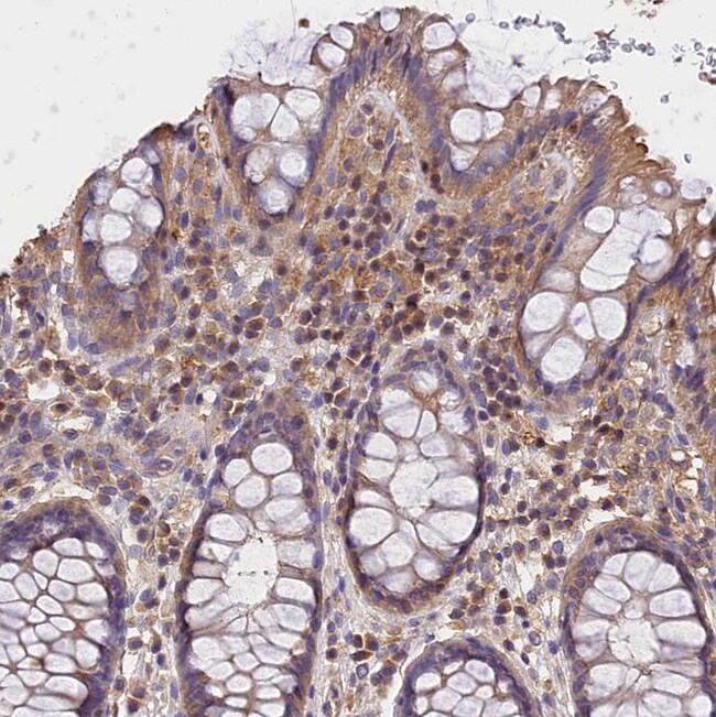
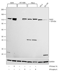
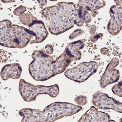
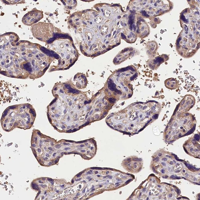
OAS3 is an interferon inducible protein that belongs to the 2-5A synthetase family, may play a role in mediating resistance to virus infection, control of cell growth, differentiation, and apoptosis. OAS3 synthesizes preferentially dimeric 2',5'-oligoadenylate molecules. GTP can be an alternative substrate. OAS3 binds double-stranded RNA and polymerizes ATP into PPP(A2'P5'A)N oligomers, which activate the latent RNase L that, when activated, cleaves single-stranded RNAs. The protein is present at high level in placenta trophoblast.
Specifications
OAS3 | |
Polyclonal | |
Unconjugated | |
OAS3 | |
(2-5')oligo(A) synthase 3; (2-5')oligo(A) synthetase 3; 2',5'-oligoadenylate synthetase-like 10; 2'-5' oligoadenylate synthetase 3; 2'-5' oligoadenylate synthetase-like 10; 2-5A synthase 3; 2-5A synthetase 3; 2'-5'-oligoadenylate synthase 3; 2'-5'-oligoadenylate synthetase 3; 2'-5'-oligoadenylate synthetase 3, 100kDa; 2'-5'oligoadenylate synthetase p100; Oas3; oasl10; P/OKcl.4; p100; p100 OAS; p100OAS | |
Rabbit | |
Antigen affinity chromatography | |
RUO | |
4940 | |
Store at 4°C short term. For long term storage, store at -20°C, avoiding freeze/thaw cycles. | |
Liquid |
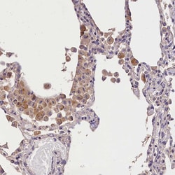
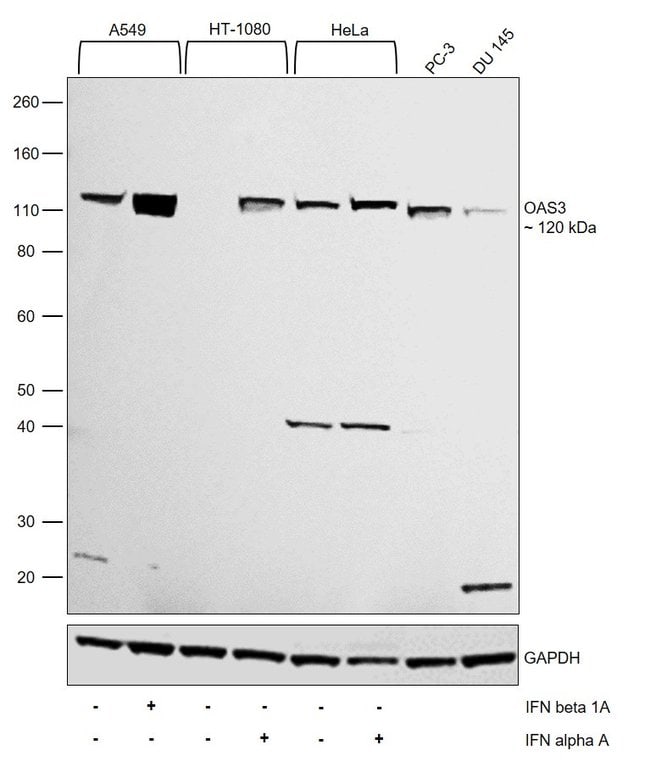
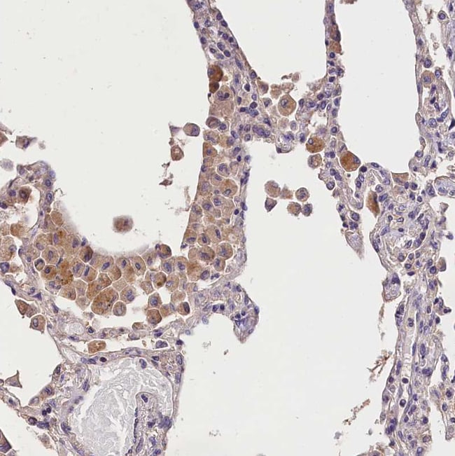
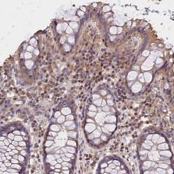
Immunohistochemistry (Paraffin), Western Blot, Immunocytochemistry | |
0.6 mg/mL | |
PBS with 40% glycerol and 0.02% sodium azide; pH 7.2 | |
Q9Y6K5 | |
OAS3 | |
Recombinant protein corresponding to Human OAS3. Recombinant protein control fragment (Product #RP-97704). | |
100 μL | |
Primary | |
Human | |
Antibody | |
IgG |
Product Content Correction
Your input is important to us. Please complete this form to provide feedback related to the content on this product.
Product Title
Spot an opportunity for improvement?Share a Content Correction