Promotional price valid on web orders only. Your contract pricing may differ. Interested in signing up for a dedicated account number?
Learn More
Learn More
Invitrogen™ OLAH Polyclonal Antibody

Rabbit Polyclonal Antibody
Supplier: Invitrogen™ PA558179
Description
Immunogen sequence: AEAKEFVKQC SPIIRADLNI VRSCTSNVPS KAVLSCDLTC FVGSEDIAKD MEAWKDVTSG NAKIYQLPGG HFYLLD Highest antigen sequence identity to the following orthologs: Mouse - 53%, Rat - 43%.
Specifications
| OLAH | |
| Polyclonal | |
| Unconjugated | |
| OLAH | |
| Augmented in rheumatoid arthritis 1; AURA1; OLAH; Oleoyl-ACP hydrolase; oleoyl-acyl-carrier-protein hydrolase; S-acyl fatty acid synthase thioesterase, medium chain; SAST; TE2; THEDC1; Thioesterase 2; thioesterase domain containing 1; thioesterase domain-containing protein 1; Thioesterase II | |
| Rabbit | |
| Antigen affinity chromatography | |
| RUO | |
| 55301 | |
| Store at 4°C short term. For long term storage, store at -20°C, avoiding freeze/thaw cycles. | |
| Liquid |
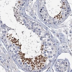
| Immunohistochemistry (Paraffin), Western Blot | |
| 0.1 mg/mL | |
| PBS with 40% glycerol and 0.02% sodium azide; pH 7.2 | |
| Q9NV23 | |
| OLAH | |
| Recombinant protein corresponding to Human OLAH. Recombinant protein control fragment (Product #RP-97121). | |
| 100 μL | |
| Primary | |
| Human | |
| Antibody | |
| IgG |
Safety and Handling
WARNING: Cancer - www.P65Warnings.ca.gov
Product Content Correction
Your input is important to us. Please complete this form to provide feedback related to the content on this product.
Product Title
Spot an opportunity for improvement?Share a Content Correction