Promotional price valid on web orders only. Your contract pricing may differ. Interested in signing up for a dedicated account number?
Learn More
Learn More
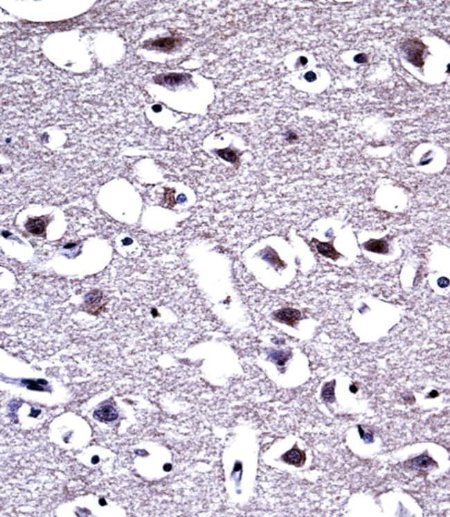
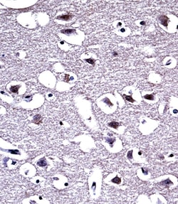
Invitrogen™ OPRM1 Polyclonal Antibody

Rabbit Polyclonal Antibody
Supplier: Invitrogen™ PA526138
Description
This antibody is predicted to react with porcine, non-human primate and rat based on sequence homology.
The OPRM1 gene encodes the mu opioid receptor, which is the primary site of action for the most commonly used opioids, including morphine, heroin, fentanyl, and methadone. It is also the primary receptor for endogenous opioid peptides beta-endorphin and the enkephalins. The OPRM1 receptor is a membrane of the G protein-coupled receptor family. There are at least 3 types of opioid receptors, mu, kappa, and delta, each with a distinct pharmacologic profile.
Specifications
OPRM1 | |
Polyclonal | |
Unconjugated | |
OPRM1 | |
hMOP; KIAA0403; LMOR; MOP; MOP receptor; MOP-R; Mor; MOR1; M-OR-1; MOR-1; MOR-1C; MOR-1O; MORA; Mu opiate receptor; mu opioid receptor; mu opioid receptor hMOR-1a; mu opioid receptor splice variant mMOR-1Z; mu opioid receptor splice variant rMOR-1S; mu opioid receptor splice variant rMOR-1Z; mu-opioid receptor; muOR; MUOR1; mu-type opioid receptor; Opioid mu receptor; Opioid Receptor; opioid receptor B; opioid receptor mu 1; opioid receptor, mu 1; OPRM; Oprm1; Oprrm1; OTTHUMP00000017463; Ror-b | |
Rabbit | |
Antigen affinity chromatography, Protein A | |
RUO | |
18390, 4988 | |
Store at 4°C short term. For long term storage, store at -20°C, avoiding freeze/thaw cycles. | |
Liquid |
Flow Cytometry, Immunohistochemistry (Paraffin), Western Blot | |
0.4 mg/mL | |
PBS with 0.09% sodium azide; pH 7.4 | |
P35372, P42866 | |
OPRM1 | |
KLH conjugated synthetic peptide between 161-187 amino acids from the central region of human OPRM1. | |
400 μL | |
Primary | |
Human, Mouse | |
Antibody | |
IgG |
Product Content Correction
Your input is important to us. Please complete this form to provide feedback related to the content on this product.
Product Title
Spot an opportunity for improvement?Share a Content Correction