Promotional price valid on web orders only. Your contract pricing may differ. Interested in signing up for a dedicated account number?
Learn More
Learn More
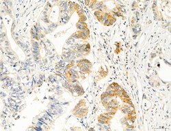
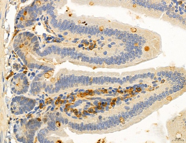
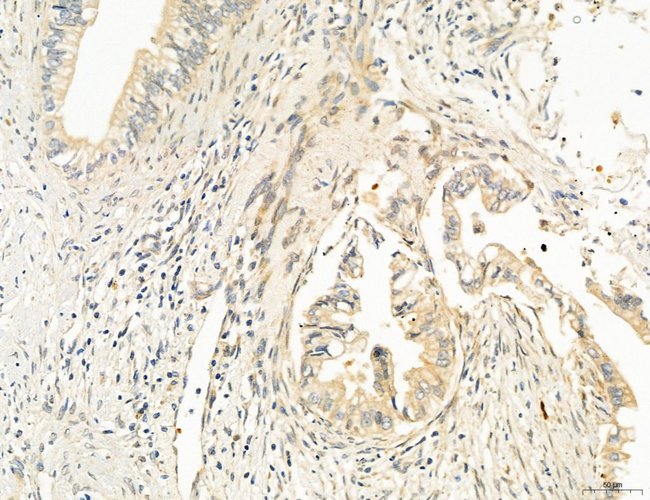
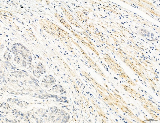
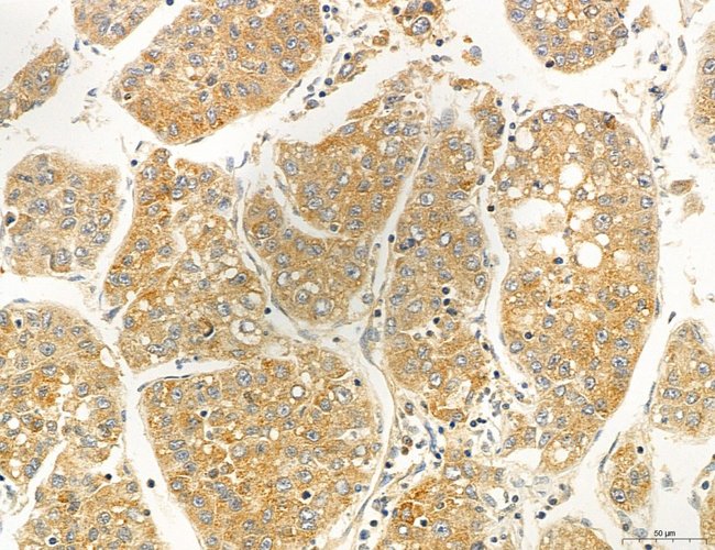
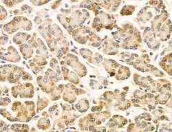
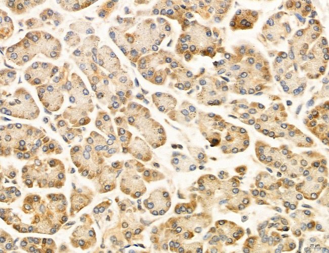
Invitrogen™ OSBP Polyclonal Antibody

Rabbit Polyclonal Antibody
Supplier: Invitrogen™ PA5115695
Description
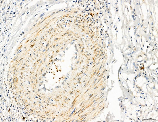
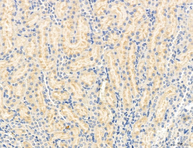
Antibody detects endogenous levels of total OSBP.
Oxysterol binding protein is an intracellular protein that is believed to transport sterols from lysosomes to the nucleus where the sterol down-regulates the genes for the LDL receptor, HMG-CoA reductase, and HMG synthetase.
Specifications
| OSBP | |
| Polyclonal | |
| Unconjugated | |
| Osbp | |
| 1110018F06Rik; AW559088; HGNC:8503; Kiaa4220; mKIAA4220; OSBP; OSBP1; oxysterol binding protein; oxysterol-binding protein 1 | |
| Rabbit | |
| Affinity chromatography | |
| RUO | |
| 365410, 5007, 76303 | |
| -20°C | |
| Liquid |
| Immunohistochemistry (Paraffin), Western Blot, Immunocytochemistry | |
| 1 mg/mL | |
| PBS with 50% glycerol and 0.02% sodium azide | |
| P22059, Q3B7Z2 | |
| Osbp | |
| A synthesized peptide derived from human OSBP(Accession P22059), corresponding to amino acid residues E353-K403. | |
| 100 μL | |
| Primary | |
| Human, Mouse, Rat | |
| Antibody | |
| IgG |
Safety and Handling
WARNING: Cancer - www.P65Warnings.ca.gov
Product Content Correction
Your input is important to us. Please complete this form to provide feedback related to the content on this product.
Product Title
Spot an opportunity for improvement?Share a Content Correction