Promotional price valid on web orders only. Your contract pricing may differ. Interested in signing up for a dedicated account number?
Learn More
Learn More
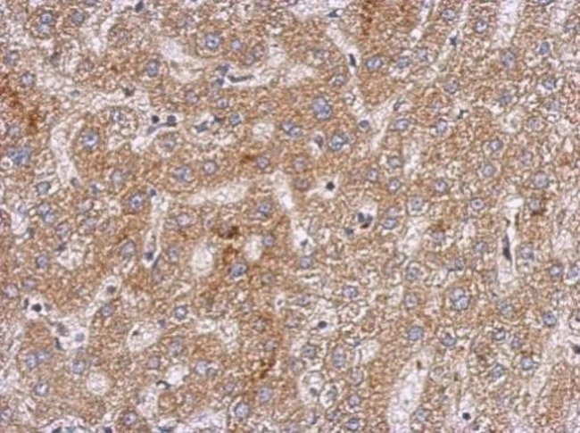
Invitrogen™ OXSM Polyclonal Antibody

Rabbit Polyclonal Antibody
Supplier: Invitrogen™ PA534902
Description
Recommended positive controls: HeLa. Predicted reactivity: Mouse (89%), Rat (90%), Bovine (89%). Store product as a concentrated solution. Centrifuge briefly prior to opening the vial.
This gene encodes a beta-ketoacyl synthetase. The encoded enzyme is required for elongation of fatty acid chains in the mitochondria. Alternatively spliced transcript variants have been described.
Specifications
OXSM | |
Polyclonal | |
Unconjugated | |
OXSM | |
3-ketoacyl-acyl carrier protein synthase; 3-oxoacyl-[acyl-carrier-protein] synthase, mitochondrial; 3-oxoacyl-ACP synthase, mitochondrial; 3-oxoacyl-acyl-carrier-protein synthase; 4933425A18Rik; acyl-malonyl acyl carrier protein-condensing enzyme; beta-ketoacyl synthase; beta-ketoacyl-ACP synthase; C80494; FASN2D; KASI; KS; Oxsm; RGD1311092; type II mitochondrial beta-ketoacyl synthase | |
Rabbit | |
Antigen affinity chromatography | |
RUO | |
54995 | |
Store at 4°C short term. For long term storage, store at -20°C, avoiding freeze/thaw cycles. | |
Liquid |
Immunohistochemistry (Paraffin), Western Blot | |
1 mg/mL | |
PBS with 1% BSA, 20% glycerol and 0.01% thimerosal; pH 7 | |
Q9NWU1 | |
OXSM | |
Recombinant protein encompassing a sequence within the center region of human OXSM. The exact sequence is proprietary. | |
100 μL | |
Primary | |
Human | |
Antibody | |
IgG |
Product Content Correction
Your input is important to us. Please complete this form to provide feedback related to the content on this product.
Product Title
Spot an opportunity for improvement?Share a Content Correction