Learn More
Invitrogen™ p53 Recombinant Rabbit Monoclonal Antibody (JB42-26)

Description
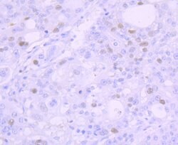
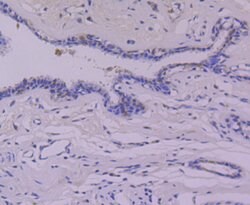
Positive Control: 293, Daudi, human breast cancer tissue, human stomach cancer tissue.
Specifications
Specifications
| Antigen | p53 |
| Applications | Flow Cytometry, Immunohistochemistry (Paraffin), Western Blot, Immunocytochemistry |
| Classification | Recombinant Monoclonal |
| Clone | JB42-26 |
| Concentration | 1 mg/mL |
| Conjugate | Unconjugated |
| Formulation | TBS with 0.05% BSA, 40% glycerol and 0.05% sodium azide; pH 7.4 |
| Gene | Tp53 |
| Gene Accession No. | P04637 |
| Gene Alias | Antigen NY-CO-13; bbl; BCC7; bfy; bhy; cellular tumor antigen p53; Cys 51 Stop; EGK_08142; FLJ92943; HGNC11998; I79_002739; LFS1; Li-Fraumeni syndrome; mutant p53; mutant tumor protein 53; OTTMUSP00000006194; p44; p53; p53 cellular tumor antigen; p53 protein; p53 tumor suppressor; p53 tumor suppressor phosphoprotein; phosphoprotein p53; Tp53; tp53.L; transformation related protein 53; transformation-related protein 53; Trp248; Trp53; tumor protein 53; tumor protein p53; tumor protein p53 (Li-Fraumeni syndrome); tumor protein p53 L homeolog; tumor suppressor p53; tumor suppressor p53 phosphoprotein; tumor suppressor protein p53; tumor supressor p53; Tumour Protein p53; XELAEV_180196761mg; Xp53; Xrel3 |
| Show More |
By clicking Submit, you acknowledge that you may be contacted by Fisher Scientific in regards to the feedback you have provided in this form. We will not share your information for any other purposes. All contact information provided shall also be maintained in accordance with our Privacy Policy.