Learn More
Description
Specifications
Specifications
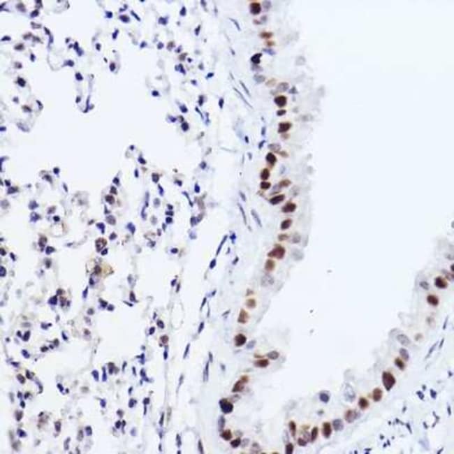
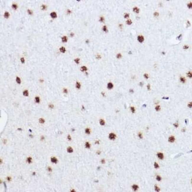
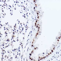
| Antigen | p73 |
| Applications | Western Blot, Immunohistochemistry, Immunohistochemistry (Paraffin) |
| Classification | Monoclonal |
| Clone | 7L1V7 |
| Conjugate | Unconjugated |
| Dilution | Western Blot, Immunohistochemistry 1:50 - 1:200, Immunohistochemistry-Paraffin |
| Formulation | PBS, 0.05% BSA, 50% glycerol, pH7.3 |
| Gene Alias | p53-related protein, P73p53-like transcription factor, TA p73, TAp73, tumor protein p73 |
| Host Species | Rabbit |
| Immunogen | A synthetic peptide corresponding to a sequence within amino acids 1-100 of human p73 (O15350). |
| Show More |
By clicking Submit, you acknowledge that you may be contacted by Fisher Scientific in regards to the feedback you have provided in this form. We will not share your information for any other purposes. All contact information provided shall also be maintained in accordance with our Privacy Policy.
