Promotional price valid on web orders only. Your contract pricing may differ. Interested in signing up for a dedicated account number?
Learn More
Learn More
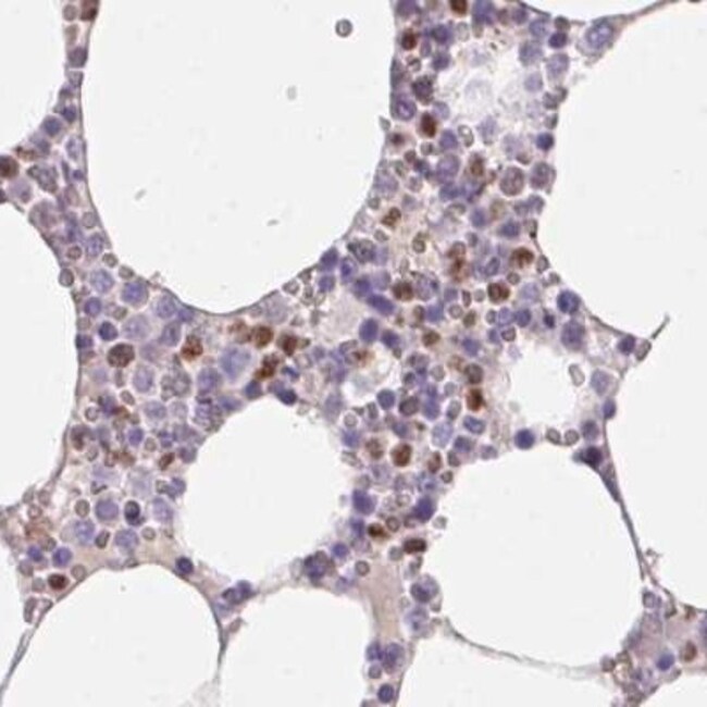
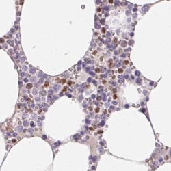
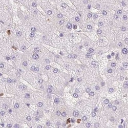
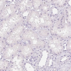
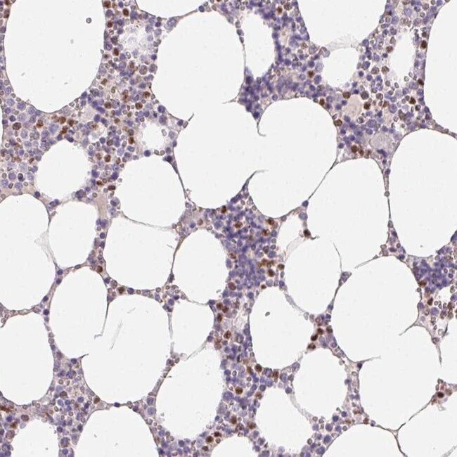
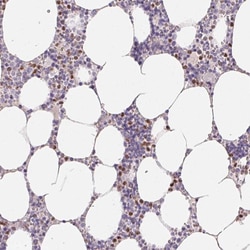
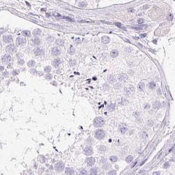
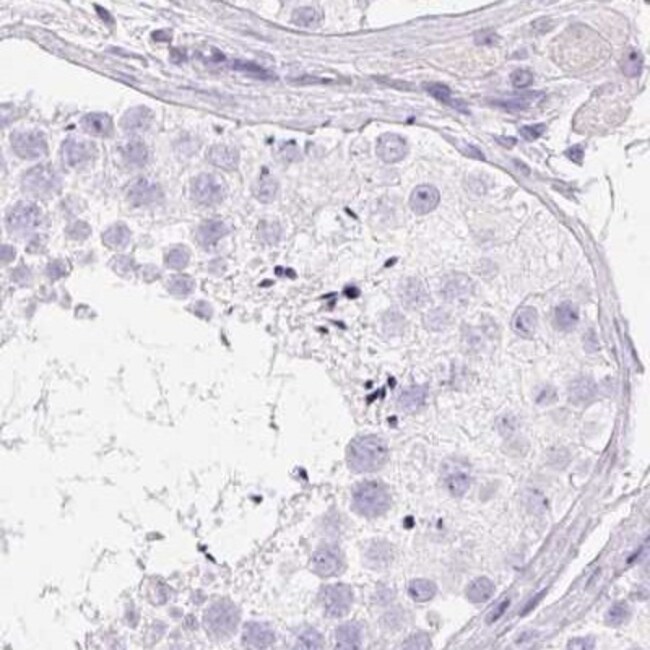
Invitrogen™ PADI4 Polyclonal Antibody
Rabbit Polyclonal Antibody
Supplier: Invitrogen™ PA583632
Description
Immunogen sequence: GTLTQLDICS SAPEDCTSFS INASPGVVVD IAHGPPAKKK STGSSTWPLD PGVEVTLTMK VASGSTGDQK VQISYYGPKT PPVKALLYLT GV.
Catalyzes the citrullination/deimination of arginine residues of proteins. Citrullinates histone H3 at 'Arg-8' and/or 'Arg-17' and histone H4 at 'Arg-3', which prevents their methylation by CARM1 and HRMT1L2/PRMT1 and represses transcription. Citrullinates EP300/P300 at 'Arg-2142', which favors its interaction with NCOA2/GRIP1.
Specifications
PADI4 | |
Polyclonal | |
Unconjugated | |
Padi4 | |
HL-60 PAD; PAD; PAD type IV; PAD4; Padi4; PADI5; PADI-H protein; PAD-R4; Pdi4; PDI5; peptidyl arginine deiminase 4; peptidyl arginine deiminase, type 4; peptidyl arginine deiminase, type IV; peptidyl arginine deiminase, type V; peptidylarginine deiminase IV; Peptidylarginine deiminase type alpha; protein-arginine deiminase type IV; Protein-arginine deiminase type-4 | |
Rabbit | |
Antigen affinity chromatography | |
RUO | |
23569 | |
Store at 4°C short term. For long term storage, store at -20°C, avoiding freeze/thaw cycles. | |
Liquid |
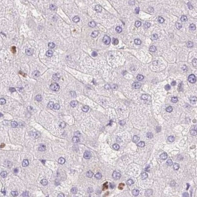
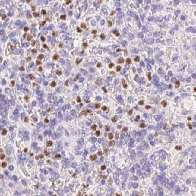
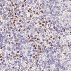
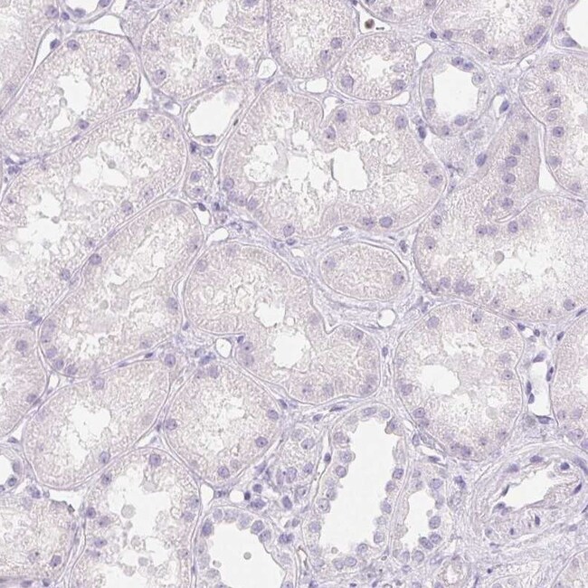
Immunohistochemistry (Paraffin), Western Blot | |
0.1 mg/mL | |
PBS with 40% glycerol and 0.02% sodium azide; pH 7.2 | |
Q9UM07 | |
Padi4 | |
Recombinant protein corresponding to Human PADI4. Recombinant protein control fragment (Product #RP-102929). | |
100 μL | |
Primary | |
Human | |
Antibody | |
IgG |
Product Content Correction
Your input is important to us. Please complete this form to provide feedback related to the content on this product.
Product Title
Spot an opportunity for improvement?Share a Content Correction