Promotional price valid on web orders only. Your contract pricing may differ. Interested in signing up for a dedicated account number?
Learn More
Learn More
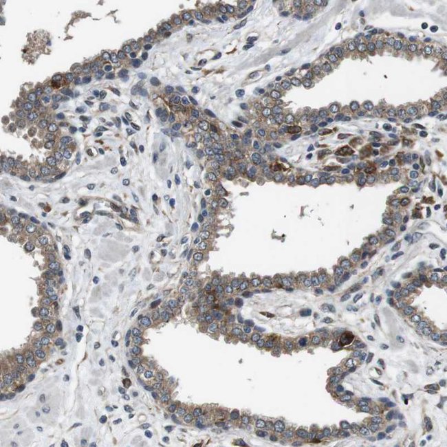
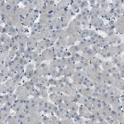
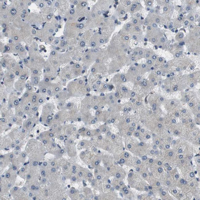
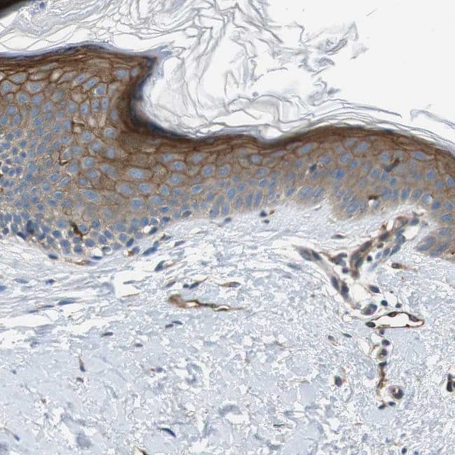
Invitrogen™ PALD1 Polyclonal Antibody

Rabbit Polyclonal Antibody
Supplier: Invitrogen™ PA553366
Description
Immunogen sequence: GVRVESLELA IRKEIHDFAQ LSENTYHVYH NTEDLWGEPH AVAIHGEDDL HVTEEVYKRP LFLQPTYRYH RLPLPEQGSP LEAQLDAFVS VLRETPSLLQ LRDAH Highest antigen sequence identity to the following orthologs: Mouse - 83%, Rat - 86%.
The function of this protein remains unknown.
Specifications
PALD1 | |
Polyclonal | |
Unconjugated | |
PALD1 | |
KIAA1274; mKIAA1274; MMPAL; Paladin; Pald; Pald1; palladin; phosphatase domain containing paladin 1; phosphatase domain containing, paladin 1 | |
Rabbit | |
Antigen affinity chromatography | |
RUO | |
27143 | |
Store at 4°C short term. For long term storage, store at -20°C, avoiding freeze/thaw cycles. | |
Liquid |
Immunohistochemistry (Paraffin) | |
0.2 mg/mL | |
PBS with 40% glycerol and 0.02% sodium azide; pH 7.2 | |
Q9ULE6 | |
PALD1 | |
Recombinant protein corresponding to Human PALD1. Recombinant protein control fragment (Product #RP-90721). | |
100 μL | |
Primary | |
Human | |
Antibody | |
IgG |
Product Content Correction
Your input is important to us. Please complete this form to provide feedback related to the content on this product.
Product Title
Spot an opportunity for improvement?Share a Content Correction