Learn More
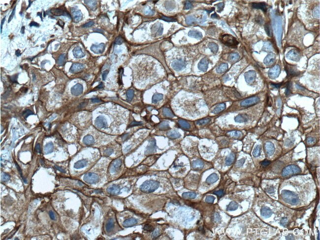
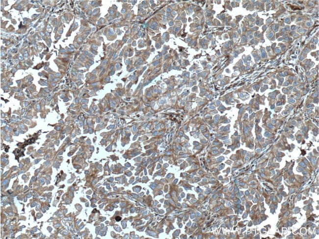
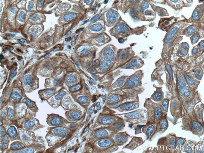
pan Ras Mouse anti-Human, Mouse, Porcine, Rat, Clone: 4H4G7, Proteintech
Shop All Proteintech Group Inc Products

Description
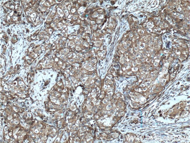
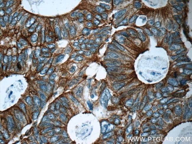
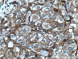
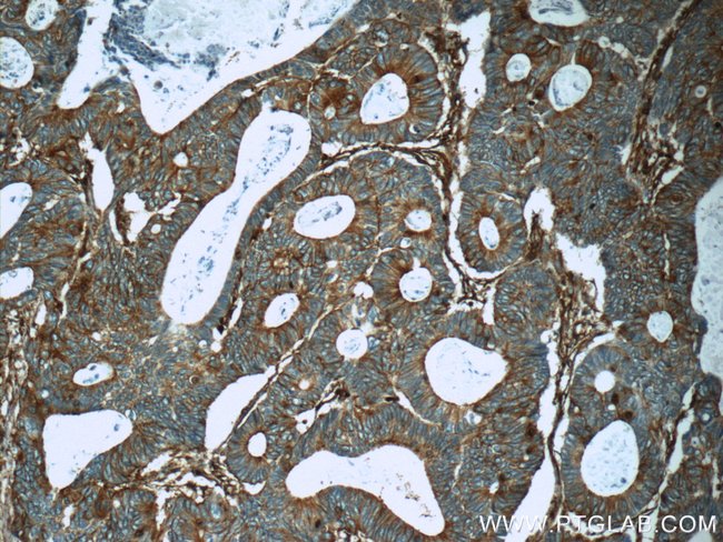
This antibody can recognize K-Ras, H-Ras, and N-Ras.
Specifications
Specifications
| Antigen | pan Ras |
| Applications | Flow Cytometry, Immunohistochemistry (Paraffin), Immunoprecipitation, Western Blot |
| Classification | Monoclonal |
| Clone | 4H4G7 |
| Concentration | 0.5 mg/mL |
| Conjugate | Unconjugated |
| Formulation | PBS with 50% glycerol and 0.02% sodium azide; pH 7.3 |
| Gene | HRAS |
| Gene Accession No. | P01111, P01112, P01116, P08556, P08644, P20171, P32883, Q04970, Q2MJK3, Q61411 |
| Gene Alias | C K RAS, c Ki ras, GTPase KRas, K Ras 2, K RAS2A, K RAS2B, K RAS4A, K RAS4B, KI RAS, KRAS, KRAS1, KRAS2, KRAS2B speicifc, Krasa, Krasb, NS3, pan Ras, RASK2 |
| Show More |
By clicking Submit, you acknowledge that you may be contacted by Fisher Scientific in regards to the feedback you have provided in this form. We will not share your information for any other purposes. All contact information provided shall also be maintained in accordance with our Privacy Policy.