Promotional price valid on web orders only. Your contract pricing may differ. Interested in signing up for a dedicated account number?
Learn More
Learn More
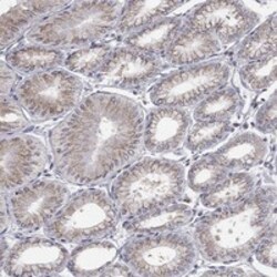
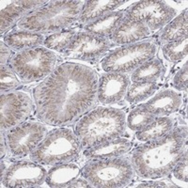
Invitrogen™ PANK3 Polyclonal Antibody

Rabbit Polyclonal Antibody
Supplier: Invitrogen™ PA5140019
This item is not returnable.
View return policy
Description
Gently mix before use. Optimal concentrations and conditions for each application should be determined by the user. Immunogen sequence: QAECYYFANA SEPERCQKMP FNLDD.
This gene encodes a protein belonging to the pantothenate kinase family. Pantothenate kinase is a key regulatory enzyme in the biosynthesis of coenzyme A (CoA) in bacteria and mammalian cells. It catalyzes the first committed step in the universal biosynthetic pathway leading to CoA and is itself subject to regulation through feedback inhibition by CoA. This family member is expressed most abundantly in the liver.
Specifications
| PANK3 | |
| Polyclonal | |
| Unconjugated | |
| PANK3 | |
| hPanK3; mPanK3; Pank3; Pantothenate kinase 3; pantothenic acid kinase 3 | |
| Rabbit | |
| Antigen affinity chromatography | |
| RUO | |
| 79646 | |
| Store at 4°C short term. For long term storage, store at -20°C, avoiding freeze/thaw cycles. | |
| Liquid |
| Immunohistochemistry (Paraffin), Immunocytochemistry | |
| 0.1 mg/mL | |
| PBS with 40% glycerol and 0.02% sodium azide; pH 7.2 | |
| Q9H999 | |
| PANK3 | |
| Recombinant protein corresponding to Human PANK3. | |
| 100 μL | |
| Primary | |
| Human | |
| Antibody | |
| IgG |
Product Content Correction
Your input is important to us. Please complete this form to provide feedback related to the content on this product.
Product Title
Spot an opportunity for improvement?Share a Content Correction